Foreign Bodies
|
Foreign Body Ingestions - page 2
|
|
|
|
|
|
|
|
|
Foreign Bodies: Ingestions...continued
by Tim B. Hunter, MD and Mihra S. Taljanovic, MD, PhD
Plastic Clips; Pull Tabs
Another seemingly innocuous but potentially extremely dangerous ingested foreign body is the plastic clip used to close plastic bags, such as those for bread packages (figure: plastic clip). These plastic clips have been noted to grip various portions of the bowel mucosa, producing inflammation and ulceration and eventually leading to severe complications - perforation, obstruction, intussusception, fistula formation, abdominal abscess formation, and death (Bundred, 1984; Sutton, 1984; Rivron, 1983; Jamison, 1983; Guindi, 1987). Unfortunately, these clips are usually not opaque on radiographs and are difficult to detect. They may become encrusted with mineral or bile salts and thereby are rendered opaque.
Less than 1% of ingested foreign bodies cause perforation of the gastrointestinal tract. Sharp, elongated objects are the most likely to penetrate the bowel or esophageal mucosal lining and cause significant injury to the bowel wall or frank perforation (Maglinte, 1979; Ziter, 1976; Schwartz, 1977; Gunn, 1966; Ashby, 1967; Ngan, 1990; Danielson, 1985; Guelfguat, 2014). Perforations are more common in the ileocecal region, especially in a Meckel diverticulum or the appendix. Metallic objects such as needles or elongated objects such as fish bones, chicken bones, and toothpicks are the foreign bodies most frequently reported to have caused a perforation (Gharib, 2015).
In many cases, these perforations do not occur acutely or cause acute symptoms. The object may only partially perforate the bowel wall and produce a chronic inflammatory process that has few symptoms, being discovered months or years later. Sometimes, these chronic inflammatory processes are discovered when they produce unusual areas of opacity or lucency on radiographs obtained for other reasons. Sometimes, they are discovered at abdominal surgery performed for another reason. Even at surgery, the foreign body may be hard to diagnose because of its encrustation by bile and mineral salts.
Almost all objects composed of plastic and most thin aluminum objects, such as pull tabs on cans, are not radiopaque (Table). On the other hand, all chicken bones and most meat bones are opaque on radiographs (figures: foreign body ingestions III), whereas the majority of fish bones are not, although some fish bones are readily evident. Glass is always radiopaque, and its radiopacity does not depend on its lead content or other metal content (Tandberg, 1982; Gordon, 1985; Fornage, 1986). Glass foreign bodies, whether ingested, inserted into a body cavity, or deposited in the soft tissues of an extremity by an injury, should always be visible on radiographs. This visibility obviously depends on the size of the object. Submillimeter pieces of glass buried deep in the soft tissue of an obese person may not be visible. However, any substantial piece of glass 1-2 mm or larger should generally be visible.
Foreign Body Ingestions - figures III
| Turkey bone in the hypopharynx |
Bone in hypopharynx |
Fishbone in hypopharynx |
 |
 |
 |
| 81 year-old man who swallowed a turkey bone (arrows). It is located just posterior to the cricoid cartilage. The bone could not be seen at direct laryngoscopy but was removed at endoscopy. From Hunter, 1994 |
Xeroradiograph of an elderly man with painful swallowing after eating a bowl of "oxtail soup." There is an impacted piece of bone lying anterior to the 7th cervical vertebra. Note the prominently calcified posterior margin of the cricoid bone (arrow). This normal variant should not be mistaken for a foreign body. The impacted bone fragment was removed from the proximal esophagus at endoscopy. From Hunter, 1994 |
68 year-old man with difficulty swallowing after eating fish. A bone (arrow) had perforated the hypopharyngeal wall and was lodged in the soft tissues of the neck. Indirect laryngoscopy was negative, and the bone was removed at surgery after an unsuccessful endoscopy. From Hunter, 1994 |
 |
| Chickenbone and barium capsule |
Swallowed rubber glove |
 |
 |
 |
| 36 year-old woman with painful swallowing after eating chicken. A small calcific density (arrowhead) represents a lodged chicken bone. A radiograph after the woman swallowed a barium capsule shows it temporarily lodged at the point of obstruction. The bone was impacted in her proximal esophagus and removed at rigid endoscopy. From Danielson, 1985. |
Radiograph of an adult who was in the habit of swallowing rubber gloves. The mottled lucent area (arrow) in the right lower quadrant represents a rolled up rubber glove in the terminal ileum. It has a similar appearance to swallowed drug packets. From Hunter, 1994 |
Back to Top
Coins
Often radiologists and other physicians are not aware that aluminum is relatively radiolucent, unlike most other common metals. Ingested or inhaled aluminum objects are not easily detected on radiographs. The U.S. federal government actually abandoned plans to produce an aluminum penny, because many physicians pointed out the danger to children if a common coin were radiolucent (Heller, 1974; Dorst, 1982; Eggli, 1986).
Coin ingestions are common in children and would be hard to diagnose if coins were not readily apparent on radiographs. Although most coin ingestions cause no harm, with the coin passing through the gastrointestinal tract in a few days, coins may enter the airway or become impacted at the thoracic inlet or the gastroesophageal junction. In these cases, intervention is required. The diagnosis of coin ingestion could be significantly delayed if radiolucent coins were common. In fact aluminum pull tabs and Italian lira are radiolucent and have caused difficulty in the diagnosis of esophageal perforations.
Coin ingestions are generally benign, but it is possible for zinc toxicity to develop if a large number of pennies are ingested. Pennies produced after 1981 consist mainly of zinc. There are at least two reports of schizophrenic patients ingesting massive amounts of pennies with resultant systemic symptoms of zinc poisoning from the caustic partial digestion of the pennies in the stomach and bowel (Pawa, 2008; Dhawan, 2008).
The diagnosis of an ingested foreign body is often overlooked in those patients who cannot furnish an adequate history or who have swallowed objects that are not inherently opaque (Schwartz, 1976; Eldridge, 1961; Jackson, 1957; Nandi, 1978; Smith, 1974; Chaikhouni, 1985; Humphry, 1981; Berger, 1980). In selected cases, contrast material studies with barium tablets, barium capsules (figure: chickenbone and barium capsule), barium impregnated cotton balls, or barium-coated food may be useful. CT of the abdomen or chest may be helpful, particularly if an unusual area of opacity or lucency is found at radiography, and the diagnosis of a perforating
foreign body is entertained (Guelfguat, 2014). Correlation of the CT findings with radiographic
findings and careful examination of the scout image
is critical for diagnosing foreign bodies or unexpected
medical devices.
Young children with an esophageal foreign body may present with mainly respiratory symptoms and may not volunteer a history of foreign body ingestion. Stridor, wheezing, and pneumonia can be unsuspected sequelae from an ingested, impacted foreign body in the hypopharynx, esophagus, or respiratory tree (figures: foreign body ingestions IV) (Smith, 1974; Humphry, 1981; Berger, 1980).
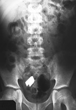
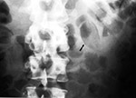
Whenever there is a history of a foreign body whether in an adult or a child, more than one object should be suspected and looked for. The patient should be examined from the base of the skull to the the anus (figure: tweezer in bowel). Often, there is ingestion of more than one object, and the search for foreign bodies should not be suspended just because one has been found. Children are especially prone to ingest objects in multiples.
Back to Top
Foreign Body Ingestions - figures IV
| Wire in hypopharynx |
Bingo chip in hypopharynx |
Safety pin in larynx |
 |
 |
 |
 |
| 8 month-old boy with vague respiratory symptoms. Lateral view of the chest shows a thin, twisted metallic foreign body. A piece of wire was removed from his hypopharynx at endoscopy. From Hunter, 1994 |
2 year-old girl with severe respiratory symptoms. She had a left sided pneumonia and empyema requiring a tracheostomy. For several days the ring-like metallic density noted on her portable chest radiograph was assumed to be associated with her tracheostomy. The above lateral and frontal chest radiographs reveal the metallic density is not associated with the tracheostomy. A bingo chip was removed at endoscopy. From Hunter, 1994 |
37 year-old mentally disabled woman who was admitted comatose with a 24-hour history of difficulty breathing. An open safety pin had perforated the wall of her esophagus and penetrated her larynx. It was extracted at laryngoscopy, and she recovered without sequelae. From Hunter, 1994 |
 |
| Corsage pin in trachea |
Foreign body in unsuspected location |
 |
 |
 |
 |
| 13 year-old boy with a pin in his trachea. He had been playing with a blowgun and inhaled a corsage pin. It was removed at bronchoscopy (Courtesy of George Barnes, MD). From Hunter, 1994 |
Whenever there is a plausible history of a foreign body ingestion, the patient should be examined from the base of the skull to the anus. The radiograph on the left shows no opaque body in the chest or stomach of an 8 year-old boy who was reported to have swallowed a foreign object. The radiologist asked for a repeat radiograph (right) to include all the abdomen and pelvis. There is a metallic tweezer in the child's distal small bowel. From Hunter, 1994 |
Back to Top
Foreign Body Ingestions - figures V
| Sand in the bowel |
Ingested drug packets |
 |
a.

|
b.

|
c.

|
| Young child with a history of eating sand. (Courtesy George Barnes, MD). From Hunter, 1994 |
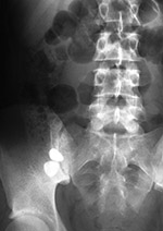
Radiographs of adults who were smuggling drugs. A packet is visible in the transverse colon (arrow in a). Relatively dense packets are visible in the transverse and descending colons in b and c. (Courtesy Charles A. Rohrmann, Jr., M.D., University of Washington, Seattle). From Hunter, 1994 |
 |
| Lead in the bowel |
Iron tablet in the bowel |
Pepto-Bismol |
Bezoar |
 |
 |
 |
 |
| Radiograph of a typesetter shows opaque lead in his distal colon. He had inadvertently ingested high amounts of lead over a period of years while eating his lunch at the plant. He had very high lead levels in his blood, neurological symptoms, anorexia, and constipation. From Hunter, 1994 |
3 year-old boy who ingested multiple iron tablets probably containing ferrous gluconate and sulphate salts. He recovered without sequelae. (Courtesy George Barnes, MD). From Hunter, 1994 |
Radiograph showing bismuth subsalicylate (Pepto-Bismol) tablets in the right lower quadrant producing a pseudo-appendicolith appearance.(Courtesy Charles A. Rohrmann, Jr., M.D., University of Washington, Seattle). From Hunter, 1994 |
3 year-old girl who ate half melted crayons which formed a bezoar in the stomach. It required surgical removal. |
Back to Top
|