Medical Apparatus: Imaging Guide to Orthopedic Devices
HOME | ABOUT | CONTACT US

Foreign Bodies

Foreign Bodies Introduction

Foreign Body Ingestions

Foreign Body Insertions

Foreign Body Injuries - Page 2

  • bones, metals, surgical injuries

    Foreign Body Injuries - Page 1

    Foreign Body Injuries - Page 3

  • Miscellaneous Foreign Bodies

    Foreign bodies and MR imaging

    MRI Safety Information

    Foreign Bodies: References & Links

     

     

     

    Foreign Bodies: Injuries...continued


    by Tim B. Hunter, MD and Mihra S. Taljanovic, MD, PhD

     

    Bones; Metals; Surgical Injuries

    Most metallic materials are opaque on radiographs (figure: BB in left orbit). Sometimes clothing or material on a patient will have opaque elements that many simulate a foreign body or a medical device (figures: materials simulating foreign bodies). Many radiologists and referring physicians do not realize that thorns, splinters, wooden fragments, and pieces of plastic are usually not sufficiently opaque to be visualized (figure: wood in calf) (Gordon, 1985; deLacey, 1985; Spouge, 1990).

    On the other hand, animal bones and shells and glass of all types are radiopaque (figure: barnacles in heel; figure: glass in forearm) (Tandberg, 1982; Gordon, 1985; deLacey, 1985). The opacity of glass is not related to its lead content; therefore, all substantially large pieces of glass should be visible on radiographs.

    The diagnosis of a nonopaque object may be difficult. In selected cases, CT and ultrasound offer hope for visualization of a suspected foreign object in the superficial tissues of the body (Fornage, 1986; Bodne, 1988; Gooding, 1987; Horton, 2001; Peterson, 2002; Meyer, 1982). At ultrasound, foreign objects frequently give a localized, reproducible hyperechoic appearance (figure: mesquite thorn). Needle localization techniques similar to those used for mammographic needle localization of nonpalpable breast lesions before surgical breast biopsy may occasionally aid in the surgical removal of a foreign body from the extremities or other superficial soft tissues of the body.

    Most foreign body injuries to the extremities or other parts of the body involve common daily activities. Motor vehicle accidents and industrial accidents account for the majority of the cases. Infrequently, foreign objects such as bullets may travel a great distance from their original site of entrance into the body (figure: shotgun injury). It is well recognized that bullets and other foreign bodies may undergo arterial or venous embolization or movement within the subarachnoid space of the head and spine. These possibilities should be considered whenever a bullet is not found on radiographs of the body part predicted to contain it based on the entrance wound and there is no obvious exit wound. Additional radiography, CT, or fluoroscopy should be performed to find the bullet (Hollerman, 1994).

    Some individuals who practice sorcery or wizardry may insert wires, paper clips, or other objects in themselves to ward off evil spells (Desrentes, 1990). Patients undergoing instrumentation or surgery may experience an iatrogenic injury involving foreign material inserted into the body (Sturdy, 1967; Rappaport, 1990; Hunter, 2010). Most acupuncture needles are temporarily inserted into the subcutaneous tissues of the body, but they may be deliberately or accidentally left in place (figure: acupuncture needles) (Imray, 1975; Schatz, 1976; Glauten, 1988; Saenz, 1978; Behrstock, 1974).

    Susuk charm needles (Malaysian charm needles) are metallic talismans inserted subcutaneously to ward off injury or to treat a present condition. This practice is most common in Southeast Asia and is hidden in the sense that the patient does not generally reveal the presence of sucn foreign bodies or might not even know they are present having received them as a child. The susuk charms are like pins or needles roughly 0.5 mm in diameter and between 0.5 to 1.0 cm in length. They are usually mostly composed of gold and are considered safe for MRI (Martin, 2019). The most common site of insertion is the facial region.

    Surgical items placed within or on a patient’s body are common in postoperative patients. Materials normally seen after surgery include large rubber retention sutures; large and small wire sutures; surgical drains; wound gauze packs; bandages; osteotomy bags; skin staples; hemoclips; small surgical staples; hernia mesh; and intravenous, intra-arterial, intraspinal, and intra-abdominal catheters. Other materials, such as retained abdominal sponges and needles, have been accidentally left behind after surgery (figure: retained surgical sponge). Fortunately, abnormal retained surgical materials are rare, but they may be difficult to detect clinically and radiographically. This difficulty arises from the often nonspecific patient symptoms, poor visibility of the objects on radiographs, and the low suspicion of the radiologist and referring physician for such objects.

    Although retained surgical sponges are not common, they are dreaded by surgeons and other physicians because of their potential for considerable patient morbidity. Retained sponges are also a frequent source of litigation and bad publicity for physicians. A retained surgical sponge may be discovered immediately near the end of a surgical procedure through a thorough sponge count performed by the nursing staff. If undiscovered at that point, a misplaced sponge may not be found for months to years after surgery (figure: retained surgical sponge; figure: gossypiboma).

    Whenever there is the possibility of a missing sponge or other retained surgical foreign body at the end of a surgical procedure, a radiograph of the abdomen and pelvis or affected body part should be obtained to look for the retained object prior to the patient leaving the operating theater (Hunter, 2010; Walter, 2015; Porter, 2015). Every medical center should develop a policy and procedure for rapid identification of a retained surgical foreign body (figure: surgical sponges).

    Gossypiboma is the term sometimes used to describe the foreign body reaction to a surgical sponge left within the body for a long period (figure: gossypiboma; figure gossypiboma on CT). The cotton matrix of the sponge forms the nidus of the foreign body reaction. Around the cotton nidus, there is surrounding fibrosis, retraction, and development of a foreign body granuloma (Sturdy, 1967; Kondo, 2018). The frequency of retained surgical foreign material is one per 1,000–1,500 laparotomies (Rappaport, 1990). Many patients are asymptomatic, and the retained sponge is discovered accidentally when the patient undergoes a radiologic study for some other reason.

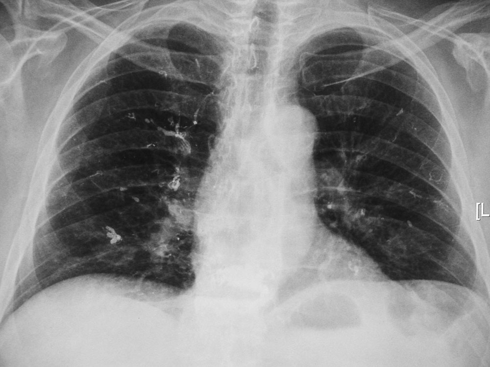
    Vertebroplasty and kyphoplasty are procedures to treat compression fractures in the thoracic and lumbar spine. Recently, their usefulness has been called into question, but they are common procedures, and many patients appear to gain considerable pain relief from them. The injected cement (usually methylmethacrylate) may on occasion extrude from the vertebral body. If it does not impinge upon the spinal cord or a nerve root, there is usually no patient harm. The material may also enter the vascular system, usually the spinal venous complex, and embolize to distant sites, such as the patient's lungs (figure: vertebroplasty cement in the lungs) (Karlsson, 2005; Taljanovic, 2006).

    An interesting foreign body injury results from the deliberate or accidental injection of metallic mercury. Metallic mercury is easily recognized on radiographs. It is most commonly seen in patients who ingest it deliberately as part of a suicide attempt or who inadvertently ingest or aspirate it as a complication of long intestinal tube use. Metallic mercury at room temperature is fairly nontoxic; however, mercury compounds and metallic mercury that is warmed enough to produce significant mercury vapor are quite toxic. Nowadays, metallic mercury is rarely seen as it is no longer used for everyday applications in thermometers or barometers, and intestinal tubes no longer contain mercury weighted bags to help with tube passage.

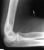
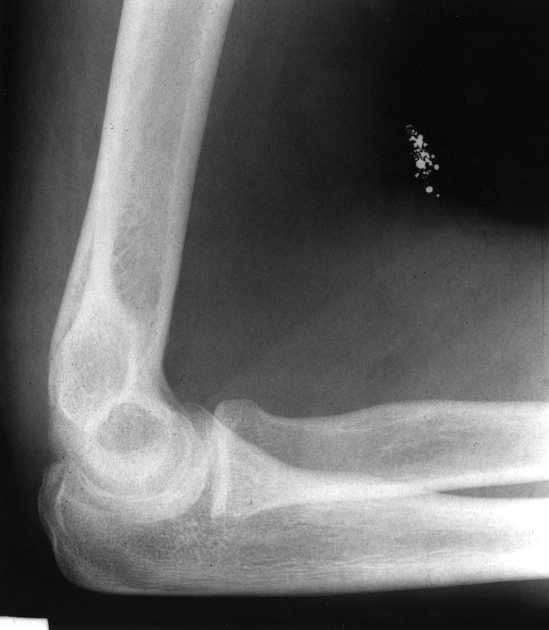
    Deliberate injection of mercury subcutaneously or intravenously produces a dramatic radiographic appearance (figure: mercury in left elbow; figure: mercury in the lungs). Individuals may inject themselves in the mistaken belief that mercury increases their strength, or they may be drug abusers or even attempting suicide (Naidich, 1973; Wenzel, 1980; Peterson, 1980; Spizarny, 1987).

    At one time, mercury was used as an anaerobic seal for arterial blood gas sampling during cardiac catheterization and as a seal for arterial blood gas sampling syringes and arterial pressure monitors. If the seal was broken, metallic mercury could be inadvertently injected into the arterial or venous system of the patient. Although mercury thermometers are uncommon nowadays, soft-tissue mercury deposits may be seen in patients who injure themselves by breaking a mercury thermometer.

    If mercury is injected into subcutaneous tissues, it forms irregular globules and may remain in place for months to years. If it is injected into the venous system, it will embolize to the lungs where it forms small globules in the peripheral branches of the pulmonary arteries. The mercury may also pool in the right ventricle. Differentiating aspirated metallic mercury from mercury embolism to the lungs is difficult on the basis of chest radiographic appearances alone. The diagnosis depends on the patient history, presence of mercury in the right ventricle or subcutaneous tissue of the arm or leg (favoring mercury embolism) or the presence of mercury in the gastrointestinal tract (favoring mercury aspiration) (Wenzel, 1980; Peterson, 1980; Spizarny, 1987). Surprisingly, metallic mercury in the bronchial tree or in the pulmonary arterial tree is usually not associated with symptoms, and it may remain undiscovered indefinitely.

    Plastic surgery with soft tissue augmentation is popular, and soft tissue implants are sometimes evident on radiologic studies. These surgeries are often performed for cosmetic purposes, but many of them are done for reconstruction after severe trauma or as part of treatment for cancer. There may be autologous fat grafting or implantation of solid siicone implants. Even though liquid injectable silicone has been fraught with disastrous results, especially in breast augmentation, it is sometimes sparinlgly used for augumentation in more limited circumstances. Soft tissue fillers in the hands and face may be radiologically evident (Lin, 2017).

    Complications from plastic surgery and soft tissue augmentation are similar to complications for other procedures, including seroma and hematoma formation, infected wounds, wound rupture, and abscess formation. There may be foreign body reaction with chronic granulation tissue or migration of foreign material to distant locations and possible vascular or neurological insult. Ilicit plastic surgery is not rare with non-medical personnel injecting or implanting foreign materials in the body, sometimes with very untoward results (Lin, 2017).

    Hemostatic agents are commonly used during major surgical procedure as well as in more limited percutaneous procedures. These "foreign materials" include packing agents, materials to control hemorrhage, and tissue sealants. Their radiologic appearance can be misinterpreted if one is not aware of their presence. They can easily mimic tumor or infection, because they typically have low or mixed attenuation with foci of gas, which may persist several weeks (Morani, 2018). Such agents may be indistinguishable from an abscess. These materials can be correctly recognized by one having a definitive history of their use and by the lack of any other clinical or laboratory findings to suggest postoperative infection.

    Hydrogel spacers are used to prevent radiation toxicity to periprostatic organs. These gels are more than 90% water with minimal toxicity with few complications. They may migrate from their placement position and even go into an intravenous position, usually without a problem as they are absorbed in a few months (Morisaka, 2022). They are readily evident on MR imaging of the pelvis.

     

    Foreign Body Injuries: II

    Left orbital BB   Wood in calf Barnacles in heel
    BB in left orbit BB in left orbit Wood foreign body Barnacles
    49 year-old man scheduled for knee MRI. History of BB injury to left eye. Frontal and lateral facial views confirm presence of BB in left orbit, possibly in left globe. MRI was contraindicated. 22 year-old man with large piece of wood (arrows) in his calf after being assaulted with a wooden stake. From Hunter, 2003. Permission granted for use of images in this article by Radiological Society of North America (RSNA) 17 year-old boy with barnacle fragments in his heel. He had been water skiing when he came into the dock and unexpectedly encountered barnacles, pieces of which lodged into his heel. (Courtesy George Barnes, MD). From Hunter, 1994
    Glass in forearm Calcium bursal deposits Mesquite thorn at ultrasound
    Glass in forearm Glass in forearm Knee calcifications on US Mesquite thorn
    39 year-old woman who punched a window receiving a forearm laceration. Frontal and lateral views of the forearm show a large glass foreign body. Physician who had frequent steroid injections into his left knee prepatellar bursa. He developed a small tender palpable abnormality. At ultrasound two small echogenic lesions (1 and 2) were found. At surgery they were calcific deposits which were removed. Ultrasound image of a young man who stepped on a broken mesquite tree branch. A large wooden fragment that pierced his foot was removed, but he continued to have pain and swelling over the dorsum of his foot. An echogenic focus was evident on ultrasound (cursors) which proved to be a mesquite thorn at surgery. From Hunter, 2003. Permission granted for use of images in this article by Radiological Society of North America (RSNA)

     

    Back to Top

     

    Foreign Body Injures: III

    Acupuncture needles Retained surgical sponge Antibiotic laden cement Surgical sponges
    Acupuncture needles Retained surgical sponge Antibiotic femoral prosthesis Surgical sponges
    Acupuncture needles in the paraspinal subcutaneous soft tissues of 37 year-old Korean woman. The needle fragments were purposefully left in place. (Courtesy Dr. Joseph A. Alvarado). From Hunter, 1994 Elderly man with right hip pain and a draining sinus tract near the right hip. He had a right hip unipolar prosthesis placed several weeks prior in Mexico. Radiographs of the pelvis and right hip (left) show a unipolar prosthesis as well as a retained surgical sponge (arrow) in the medial aspect of the right acetabulum. The prosthesis was removed and replaced with a temporary antibiotic impregnated right hip "prosthesis" (right) made from antibiotic laden cement and held in place by press fitting and cerclage wires. Surgical sponges used at University Medical Center, Tucson, AZ. See Hunter, 2010.
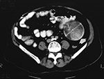
    Surgical needles Surgical blades Surgical clips and clamps Gossypiboma
    Surgical needles Surgical knives Surgical clips Gossypiboma
    Surgical needles used at University Medical Center, Tucson, AZ. See Hunter, 2010. Surgical blades used at University Medical Center, Tucson, AZ. See Hunter, 2010. Surgical clips and clamps used at University Medical Center Tucson, AZ. See Hunter, 2010. 25 year-old woman who had undergone a Cesarean section in Mexico. She presented with abdominal pain and fever. The abdominal radiograph shows a large complex, partially lucent left flank mass with an associated linear density. At surgery there was a retained surgical sponge with surrounding area of granuloma formation, a gossypiboma. From Hunter, 2003. Permission granted for use of images in this article by Radiological Society of North America (RSNA)

     

    Foreign Body Injuries: IV

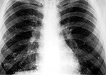
    Gossypiboma Vertebroplasty cement Vertebroplasty cement Metallic mercury in the lungs
    Gossypiboma Vertebroplasty complication Vertebroplasty complication Mercury in the chest
    Elderly man with a retained surgical sponge granuloma (gossypiboma) (arrow). Vertebroplasty cement has embolized to the patient's lungs. This was an incidental findings on a routine chest radiographic series. From Hunter, 2004a. Permission granted for use of images in this article by Radiological Society of North America (RSNA)

    21 year-old man who injected himself with metallic mercury.
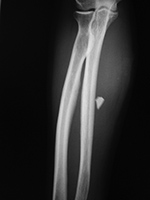
    Metallic mercury in the lungs Metallic mercury in the left elbow Halloween candy MR artifacts from tiny metallic deposits
    Mercury in the chest Mercury in the elbow Candy Shoulder MRI metallic artifacts
    21 year-old man who injected himself with metallic mercury. There are mercury emboli to the lungs and metallic mercury is evident in the antecubital fossa of the left elbow. (Figures courtesy of Charles A. Rohrmann, Jr, MD. They were originally printed in Peterson, 1980). Trick or treat candy. There are no hidden needles or razor blades. The candy and the apple (round density) where eaten with much enjoyment. From Hunter, 1994

    Axial three-dimensional MR arthrogram of the left shoulder in a 40 year-old man as follow-up from prior rotator cuff repair. The arrows point to areas of susceptibility (blooming) artifact from presumed tiny metallic deposits in the shoulder from the surgery. Shoulder radiographs were normal. From Hunter, 2003. Permission granted for use of images in this article by Radiological Society of North America (RSNA)

    Halloween is a fun time of year for children. Unfortunately, some individuals have taken delight in hiding needles, razor blades, and other harmful items in candy and food given to trick or treaters. Radiography of food and candy is surprisingly effective (figure: halloween candy) and can be used to identify harmful objects or to reassure parents that there is a low likelihood for a sharp object lurking in treats.

    Back to Top

     


    Foreign Body Injuries - Page 3


    Author contact information

    Tim Hunter
    Email: hunter@radiology.arizona.edu


    COPYRIGHT 2013: TBH
    All Rights Reserved

    Publisher Contact Information

    Main office: USA (New York)
    Cambridge University Press
    32 Avenue of the Americas
    New York, NY 10013-2473

    Phone: (212) 337-5000
    Email: newyork@cambridge.org