|
|
|
Medical Devices of the Neck & Spine
by Tim B Hunter, MD, MSc and Mihra S Taljanovic, MD, PhD
Introduction
A large variety of medical apparatus is used in the treatment of spinal disease and injuries. New devices are constantly being introduced.
Most have been used for years, and many
of the newest devices are variations on a previous
theme. Knowing the specific name of a device is not important; in fact, it is sometimes impossible,
because a slight modification of a device design
usually leads to a new name. However, it is important
to recognize the presence or absence of a
device (if the patient’s history suggests
one is present), to understand its function, and to
identify any complications associated with its use.
Overlying Materials
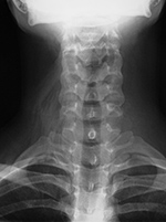
Normal everyday items carried or worn by patients - eyeglasses, earrings, hearing aids, and jewelry - may be mistaken for a medical device or foreign body; or, they may interfere with radiographic evaluation of the underlying soft tissue and bony structures. Earrings often show up on head and neck radiographs. They usually cause no confusion, but at times they can resemble electronic apparatus or even cervical spine fixation apparatus (figure: earrings). The combination of frontal and lateral views help to correctly identify earrings from medical apparatus. Even if there are frontal and lateral views, it may be difficult to distinguish unusual earrings from hearing aids.
Dental and facial apparatus often is present on cervical spine radiographs and should be evaluated as best as possible even though its evaluation was not the original intent of the imaging study. It is not all that uncommon for important maxillary, mandibular, or dental disease to be incidentally noted on routine imaging of the head, neck, or cervical spine.
| Earrings: lateral view |
Earrings: AP view |
Eyeglasses |
Necklace |
 |
 |
 |
 |
| |
These earrings resemble cervical spine apparatus on the lateral view. |
|
Note right axillary arterial stent (arrow) |
 |
| Tongue ring which showed on odontoid view of a cervical spine series |
Mandibular and maxillary wiring |
Pantopaque in the base of the cranium |
Hair overlying the neck and cervical spine |
 |
 |
 |
 |
| |
The mandibular and maxillary wires were placed to treat the bilateral mandibular fractures. |
Residual Pantopaque in the base of the cranium from a myelogram performed with Pantopaque many years prior. From Hunter, 1994 |
The hair simulates foreign material or soft tissue abnormality. |
 |
| Gown snaps simulating cervical spine apparatus |
|
|
|
 |
|
|
|
| 70 year-old woman with severe rheumatoid arthritis and chronic atlantoaxial subluxation. There is occiput to T1 posterior spinal fusion and anterior spinal fusion from C3 to C7. One of the occipital screws is "proud" (white arrow). Two gown snaps (black arrows) simulate dislodged apparatus. A tracheostomy tube is also present. |
|
|
|
 |
Back to Top
|