|
|
|
Nuclear Medicine Imaging:
Other Prostheses & Physiologic States
by Gagandeep Choudhary, MD and Phillip Kuo, MD, PhD
Other Prostheses and Physiologic States
This website and associated book Imaging Guide to Orthopedic Devices (Cambridge University Press) mainly concerns orthopedic apparatus. It should be noted, however, that all imaging studies - radiographs, CT, ultrasound, MRI, and nuclear medicine imaging - can be compromised or subject to misinterpretation if one is not careful to consider medical apparatus and foreign bodies. This is particularly true for nuclear medicine imaging where the anatomic information is often limited. Therefore, the present discussion will also address common medical apparatus other than orthopedic devices often found in routine nuclear medicine imaging practice.
Breast Prosthesis Artifacts
Breast implants are quite common and found on many imaging studies. Their most common effect on nuclear medicine imaging is to produce photopenic areas by attenuating photons. This leads to photopenic defects over the chest or upper abdomen for a variety of scans, including liver, bone, heart, and lung scans (figure 18). Nuclear medicine imaging may incidentally pick up breast prosthesis inflammation or be used to evaluate symptomatic breast implants (figure 19). Increased signal surrounding an asymptomatic breast implant is a non-specific finding and often of no significance (Patton, 1994).
Large breasts may attenuate the signal enough that is may be necessary to position the breast away from the area being imaged (Patton, 1994). Pendulous breasts can cause confusing artifacts, particularly if the patient is lying supine, and small angle Compton scatter can sometimes cause a band of intensity peripheral to large breasts.
Vocal Cord Palsy Treatment; Lactation; Marrow Rebound
Nuclear medicine is based more on physiologic processes rather than specific anatomic imaging. It will display vocal increased activity due to inflammation from vocal cord Teflon injection for treatment of vocal cord palsy (figure 20), lactation (figure 21), and marrow rebound after chemotherapy or other causes of increased marrow cellularity (figure 22). In the case of a lactating woman, FDG uptake is seen in the metabolically active glandular tissue of the breast. Although FDG is not secreted in the milk, interruption of breast-feeding for 12 hours is recommended.
Cerebellar Diaschisis
At times nuclear medicine imaging performed for one purpose, such as searching for recurrent or metastatic tumor with PET/CT imaging, encounters an unusual finding. One such case is that of cerebellar diaschisis (figure 23). Diaschisis is the inhibition of brain function produced by a disturbance in the brain at a distance from the area of inhibition. Many studies using brain SPECT have shown crossed cerebellar diaschisis in patients with a cerebral cortical infarct in which the cerebellar hemisphere opposite the side of the cerebral cortical infarct shows inhibition. The cerebellar inhibition is from decreased blood flow or decreased metabolism. This can also be seen with FDG- PET/CT imaging (Agrawal, 2011).
Recent Exercise; Non-fasting State
Nuclear medicine imaging is an exquisite reflection of patient physiology, demonstrating normal and altered physiologic states. Vigorous exercises increases blood flow to the musculature and decreases it to the liver and gastrointestinal system. The temporary increase in muscular system metabolism can be reflected on FDG-PET/CT imaging (figure 24). If a non-fasting patient undergoes FDG-PET/CT imaging, there can be unpredictable radiotracer uptake, sometimes greatly altered from normally expected patterns. In the non-fasting state there can be increased FDG uptake within muscles and decreased uptake within the brain, liver, and tumors (figure 25).
Important Artifacts
Star Artifact
The star artifact represents marked streaking in an area with intense radionucleotide emission. The streaking goes in multiple directions and resembles a multi-pointed star. This happens sometimes in SPECT imaging, because the limited number of projections used with filtered backprojection reconstruction techniques creates an artifact that streaks reconstructed images along the lines of the backprojection when there is an intense signal (Bruyant, 2000; Lyra, 2011). It can also be from penetration of photons through the septae of the collimator either due to a very large flux of photons or due to high energy photons. The star artifact can be seen in a variety of nuclear medicine studies (figure 26). It can been seen with CT imaging and is somewhat similar to comet tail or ring down artifacts in ultrasound imaging.
Motion Artifact; Extravasation of Radiotracer
Patient motion is a significant problem for all types of medical imaging from radiographs to CT, MRI, and nuclear medicine studies. To keep the radiation dose to the patient as low as possible, the amount of radiotracer is kept as low as feasible without loss of diagnostic quality. This can result in a long acquisition time for a nuclear medicine study to allow for accumulation of sufficient photons to obtain good images. Patients may not be able to hold still for the length of the study if they are too young to understand what is required of them or if they are in pain, confused, or sedated (Patton, 1994). Patient motion blurs detail and may create artifacts that simulate disease (figure 27; figure 28).
Malfunctioning equipment, such as a broken photomultiplier tube, can produce artifacts that resemble disease if not properly recognized (figure 29). Most radiotracers are injected intravenously with slight extravasation at the injection site. This is usually not a problem and easily recognized. Large extravasations from intravenous injections, spillage of radiotracer on the patient, or even leakage of radiotracer from the bowel or vascular structures may cause an unusual appearance and should always be considered when evaluating a study with atypical findings (figure 30A; figure 30B-E). Belt buckles and other clothing or objects worn by the patient can attenuate the imaging signal in unpredictable ways (figure 31).
Back to Top
| Figure 18A |
Figure 18B |
Figure 19A |
Figure 19B |
 |
 |
 |
 |
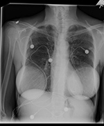
| 50 year-old woman with chest pain required evaluation of pulmonary embolism. Tc 99m MAA (macro aggregated albumin) scan (A) demonstrated well-defined rounded area of photopenia seen on anterior and left and right anterior oblique views due to photon attenuation from breast prostheses as seen on PA chest radiograph (B). |
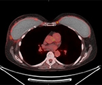
55 year-old woman with history of breast cancer status post bilateral mastectomies and implants. Axial CT (A), FDG PET (B), fused PET-CT (C), and MIP (D) images demonstrate smooth thin rim of FDG activity around the breast implants bilaterally representing peri-implant inflammation. |
 |
| Figure 19C |
Figure 19D |
Figure 20A |
Figure 20B |
 |
 |
 |
 |
| 55 year-old woman with history of breast cancer status post bilateral mastectomies and implants. Axial CT (A), FDG PET (B), fused PET-CT (C), and MIP (D) images demonstrate smooth thin rim of FDG activity around the breast implants bilaterally representing peri-implant inflammation. |
Left vocal cord palsy with Teflon injection. Axial CT (A), PET (B), and PET-CT fused (C) images show intense FDG activity within the left vocal cord from the inflammation caused by the Teflon. |
 |
| Figure 20C |
Figure 21A |
Figure 21B |
Figure 21C |
 |
 |
 |
 |
| Left vocal cord palsy with Teflon injection. PET-CT fused (C) image shows intense FDG activity within the left vocal cord. |
28 year-old lactating woman with history of lymphoma. MIP (A), axial CT (B), FDG PET (C), and PET-CT fusion (D) images demonstrate intense uptake within the glandular tissue of both breasts. Although FDG is not secreted in the milk, interruption of breast-feeding for 12 hours is recommended. |
 |
| Figure 21 D |
Figure 22 |
Figure 23A |
Figure 23B |
 |
 |
 |
 |
| 28 year-old lactating woman with history of lymphoma. PET-CT fusion (D) image demonstrates intense uptake within the glandular tissue of both breasts. |
FDG MIP image demonstrates diffuse, intensely increased uptake within the axial and proximal appendicular skeleton and increased uptake within the spleen compared to the liver. This pattern is consistent with activation of the reticuloendothelial system resulting in marrow rebound, which can be seen after chemotherapy with or without colony stimulating factor administration. |
75 year-old man with history of lung cancer in remission. Axial CT (A), PET (B), PET-CT fused (C) and MIP images (D) demonstrate large area of encephalomalacia involving the left cerebral hemisphere in the territory of middle cerebral artery with expected decreased FDG activity. Decreased FDG activity in the contralateral right cerebellar hemisphere on MIP image is consistent with cerebellar diaschisis. |
 |
| Figure 23C |
Figure 23D |
Figure 24A |
Figure 24B |
 |
 |
 |
 |
| 75 year-old man with history of lung cancer in remission. Axial CT (A), PET (B), PET-CT fused (C) and MIP images (D) demonstrate large area of encephalomalacia involving the left cerebral hemisphere in the territory of middle cerebral artery with expected decreased FDG activity. Decreased FDG activity in the contralateral right cerebellar hemisphere on MIP image is consistent with cerebellar diaschisis. |
FDG PET MIP (A), axial fused (B, C, D, E) PET-CT images demonstrate increased FDG uptake in all the muscles with relatively decreased uptake in the liver. This is consistent with recent vigorous exercise. |
 |
| Figure 24C |
Figure 24D |
Figure 24E |
|
 |
 |
 |
|
| FDG PET MIP (A), axial fused (B, C, D,E) PET-CT images demonstrate increased FDG uptake in all the muscles with relatively decreased uptake in the liver. This is consistent with recent vigorous exercise. |
|
 |
| Figure 25A |
Figure 25B |
Figure 25C |
Figure 25D |
 |
 |
 |
 |
| 78 year-old man with lung cancer. FDG MIP image (A), PET-CT axial fused images at the level of tracheal bifurcation (B) and through the upper abdomen (C) demonstrate diffuse increased FDG uptake within the muscles with markedly decreased uptake within the brain, right hilar nodal mass, and within the liver. Comparison FDG PET (D, E, F) two weeks later following proper preparation shows intense uptake in the brain, with abnormal activity in the hilar nodes. Figure 25 (A-C) non-fasting state and Figure 25 (D-F) is fasting state. |
 |
| Figure 25E |
Figure 25F |
Figure 26A |
Figure 26B |
 |
 |
 |
 |
| 78 year-old man with lung cancer. FDG MIP image (A), PET-CT axial fused images at the level of tracheal bifurcation (B) and through the upper abdomen (C) demonstrate diffuse increased FDG uptake within the muscles with markedly decreased uptake within the brain, right hilar nodal mass, and within the liver. Comparison FDG PET (D, E, F) two weeks later following proper preparation shows the physiologic intense uptake in the brain, with abnormal activity in the hilar nodes. |
Anterior planar images of bilateral lower extremities following intradermal injection of Tc 99m sulphur colloid in toe webspace for lymphosintigraphy (A). Star artifact is seen at the injection site due to intense activity. Similar star artifact is seen in Iodine-131 whole body thyroid cancer search scan (B) in thyroid cancer patient status post thyroidectomy. Artifact from uptake by the thyroid remnant is related to the septal penetration from the high energy gamma photons of I-131. |
 |
| Figure 27A |
Figure 27B |
Figure 27C |
Figure 27D |
 |
 |
 |
 |
| AC FDG PET axial (A), coronal (B), and corresponding fused PET-CT axial, coronal (C, D), and NAC FDG PET axial and coronal (E, F) images demonstrate apparent large area of decreased metabolism involving bilateral cerebral hemispheres. This is due to mis-registration of the CT and PET from head motion resulting in faulty attenuation correction. Accordingly, this defect was not seen on NAC images. |
 |
| Figure 27E |
Figure 27F |
Figure 28A |
Figure 28B |
 |
 |
 |
 |
| AC FDG PET axial (A), coronal (B), and corresponding fused PET-CT axial, coronal (C,D), and NAC FDG PET axial and coronal (E,F) images demonstrate apparent large area of decreased metabolism involving bilateral cerebral hemispheres. This is due to mis-registration of the CT and PET from head motion resulting in faulty attenuation correction. Accordingly, this defect was not seen on NAC images. |
9 year-old boy with healing sarcoma status post resection and limb reconstruction who underwent planar bone imaging after the injection of Tc-99m MDP. Apparent amputation of the right leg with floating feet (A) is related to the motion during the scan. Repeat imaging with no motion artifact (B). |
 |
Back to Top
|