Medical Apparatus: Imaging Guide to Orthopedic Devices
HOME | ABOUT | CONTACT US

Orthopedic Devices

Joint Arthroplasty

Conservative Fracture Treatment

Internal Fixation - pins, wires, and screws

Internal Fixation - plates

Internal Fixation - nails and rods

Internal Fixation - bone grafts and bone substitutes

Carbon Fiber Implants

Fracture Fixation References

Joint Arthroplasty References

 

 

 

Fracture Fixation


by Tim B Hunter, MD, MSc

 

Internal Fixation continued

 

Intramedullary Nails/Rods

Numerous intramedullary nails or rods of different design are available (figure: intramedullary rods and nails). Femoral nails are bowed anteriorly to accommodate the contour of the femur. A majority of nails are cannulated to allow their placement over a guide wire. Intramedullary nails provide excellent stability against bending forces, but they do not control rotation and compressive forces. For the control of rotational forces, proximal and distal interlocking screws are placed (usually in a lateral to medial fashion) through the nail or rod holes in the proximal and distal femur. Interlocking screws increase fixation stability and therefore led to an increased use of nailing in fracture fixation.

Short hip or femoral nails are often used with proximal femoral fractures, especially intertrochanteric fractures. These nails are thicker and more rigid to withstand the stress in the intertrochanteric and subtrochanteric regions. They have an accompanying femoral neck screw of standard design or of helical (spiral design) (figure: short hip nail). The weakest points of these nails are the distal interlocking screws. In children with osteogenesis imperfecta, two-part telescoping rods are used to allow lengthening of the rod as the child grows (Benjamin, 1994).

Interlocking (locking) screws were introduced by Grosse and Kemp with one to two proximal and usually two distal interlocking screws in femoral nails and three in tibial nails. The proximal femoral screws can be placed either (more commonly) obliquely through the intertrochanteric region or perpendicular through the proximal femoral shaft. The distal interlocking screws are placed perpendicular to the distal femoral shaft (figure: blade spiral distal locking screw). Interlocking screws also prevent collapse or shortening of the fracture (Ruedi, 2007).

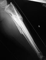
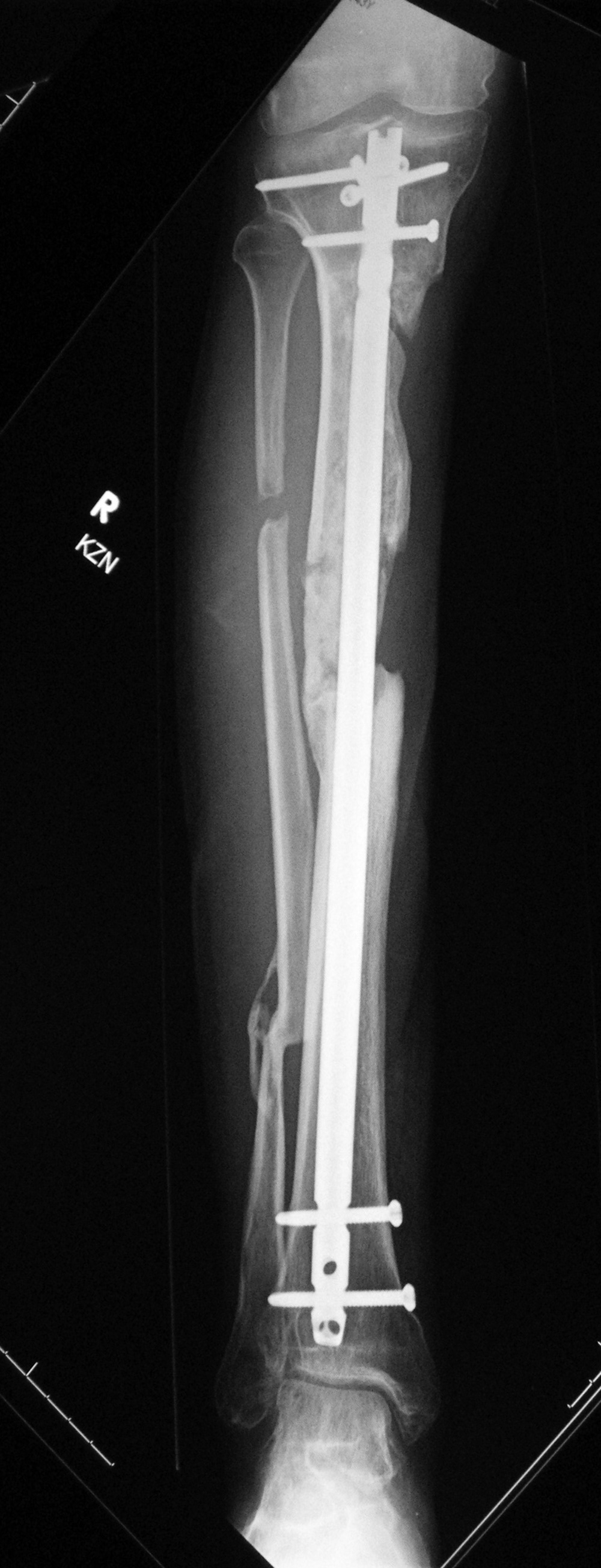
If a nail is locked both proximally and distally, it is statically locked because all planes of motion are controlled or static. A nail is dynamically locked if it is locked at one end only, which allows compression at the fracture site. Dynamization produces increased compression at the fracture site after the nail is unlocked at one end by removal of the interlocking screws. It is rarely needed in the femur, but it may be recommended in the tibia for certain fracture patterns (figure: tibia dynamization).

Dynamization is usually performed 2–3 months after initial surgery when one or both proximal interlocking screws are removed. Because unreamed nails are thinner, the use of interlocking screws is mandatory with unreamed nails to prevent torsion (Ruedi, 2007; Benjamin, 1994; Hunter, 2001). Reconstruction nails have been designed for the treatment of femoral shaft fractures with ipsilateral femoral neck, intertrochanteric, or subtrochanteric fractures. These nails have proximal locking holes oriented to accommodate screw placement into the femoral neck and head (figure: intramedullary rods and nails).

Flexible intramedullary rods are of smaller diameter and greater flexibility than standard rods and nails to accommodate different variations in long bone anatomy (Enders nail; Lottes nail; and Rush pin) (figure: Enders (flexible) fixation nails; figure: Rush pin). These nails are solid and are associated with a lower prevalence of infection than the larger cannulated rods. Flexible rods are inserted through the metaphysis. They are frequently used for fixation of long bone diaphyseal fractures in skeletally immature patients to avoid placement through the growth plate and subsequent premature closure of the growth plate. Multiple flexible rods, which diverge in the metaphyseal regions, are placed through multiple insertion sites. These rods provide some axial and rotational stability. For small-diameter bones, sometimes a single flexible rod is used. The major disadvantage associated with flexible rods is the common need for additional external fixation, such as a plaster cast (Ruedi, 2007; Benjamin, 1994; Berquist, 1995; Hunter, 2001; Oh, 2002).

Rush pins are thin fixation rods with a sled-runner tip and a hooked end. They are frequently employed for treatment of ulnar shaft fractures or fractures in other long thin bones where intramedullary insertion of the Rush pin can reduce and stabilize a fracture (figure: ulnar Rush pin). A Rush rod is similar with a chisel like tip. It is typically used in fibular shaft fractures (figure: fibular Rush rod).

Back to Top

Steinman pin Rush pin (ulna) and dynamic compression plate (radius) Carbon fiber radius volar fixation plate
Steinman pins Rush pin and dynamic compressioin plate Carbon fiber radius volar fixation plate Carbon fiber radius volar fixation plate
From Taljanovic, 2005   The carbon fiber fixation plate itself is radiolucent but has a wire encased in it to allow radiographic evaluation of its placement.

Image courtesy Brandon Runyan, MD.

Intramedullary tibial nail and fibula Rush rod

Antegrade intramedullary (IM) hip nail

Antegrade intramedullary (IM) femur nail

Short hip nail with helical (spiral) blade in femoral neck

Rush pin and tibial nail

Antegrade intramedullary hip nail

Antegrade intramedullary femoral nail

Short hip nail

From Taljanovic, 2005

There is also a helical femoral neck screw.

There is an oblique intertrochanteric locking screw and two distal locking screws.

This stabilizes an intertrochanteric fracture. From Taljanovic, 2005
Short hip nail with helical screw and distal interlocking screw

Right tibia fracture dynamization

 

Short hip nail with helical femoral neck screw

Short hip nail with helical femoral neck screw

Right tibia dynamization - before

Right tibia dynamization - after

This stabilizes an intertrochanteric fracture.

43 year-old man with complex, healing right tibia and fibular fractures. There is an intramedullary rod (nail) in the right tibia. Four locking screws are present proximally and two distally. After dynamization the distal locking screws have been removed.

 

Intramedullary tibial nail with lower extremity wound vac (arrow)

Trochanteric intramedullary (IM) nail

Tibial antibiotic rod - AP view

Tibial antibiotic rod - lateral view

Tibial intramedullary nail and wound vac

Trochanteric intramedullary femoral rod

Tibial antibiotic rod

Tibial antibiotic rod

Skin staples are present proximally.

 

 

 

Back to Top

 

Internal Fixation continued...bone grafts and bone substitutes

 


Author contact information

Tim Hunter
Email: hunter@radiology.arizona.edu


COPYRIGHT 2013: TBH
All Rights Reserved

Publisher Contact Information

Main office: USA (New York)
Cambridge University Press
32 Avenue of the Americas
New York, NY 10013-2473

Phone: (212) 337-5000
Email: newyork@cambridge.org