Medical Apparatus: Imaging Guide to Orthopedic Devices
HOME | ABOUT | CONTACT US

Orthopedic Devices

Joint Arthroplasty

Conservative Fracture Treatment

Internal Fixation - pins, wires, and screws

Internal Fixation - plates

Internal Fixation - nails and rods

Internal Fixation - bone grafts and bone substitutes

Carbon Fiber Implants

Fracture Fixation References

Joint Arthroplasty References

 

 

 

Fracture Fixation


by Tim B Hunter, MD, MSc

 

Internal Fixation continued...

 

Bone Grafts and Bone Substitutes

Fractures, tumors, or infections can create significant bone loss with large bony defects. These may produce disabling injuries which can limit healing, affect weight bearing, and lead to loss of joint or limb function. To fill in these bony voids and promote bony healing, bone grafts are frequently used. Orthopedic surgeons perform at least 500,000 bone-grafting procedures annually in the United States alone. Bone grafting may be done immediately after an injury or after an interval during which the host site is prepared for the grafting (Ruedi, 2007; Parikh, 2002).

The best bone grafts are taken directly from the patient, so-called autogenous (autograft) bone grafting. Such grafts are composed of cancellous, corticocancellous, or cortical bone. The graft is either a free graft of bone with no attached soft tissue or a vascularized graft of bone with attached muscle and subcutaneous tissue (figure: fibular mandibular reconstruction; figure: calcaneus iliac crest autograft). The most frequent donor site for autogenous cancellous bone grafting is the iliac bone. Although autogenous bone grafting is the preferred method and bone graft standard, it has significant limitations. These include finding a large enough supply of bone without producing significant donor site morbidity and the inability of the autogenous graft tissue to be fabricated into customized forms.

Bone graft harvesting is sometimes performed using a reamer/irrigator/aspirator (RIA) for intramedullary reaming and bone harvesting (figure: DePuy Synthes Reamer/Irrigator/Aspirator (RIA)). Reaming is frequently performed to enlarge the medullary canal in a long bone so a prosthesis or intramedullary rod (nail) can be inserted. At the same time, bone graft harvesting may be performed; or, the procedure's primary purpose may be for harvesting of bone to fill an area of bone loss elsewhere, typically from a severe fracture. An RIA apparatus is designed to reduce intramedullary pressure, reduce potential fat embolism, and potentially removed infected tissue in cases of osteomyelitis (DePuy Synthes, 2017). The harvested material from such a system is finely morselized autogenous bone and bone marrow.

Allografts (tissue grafts between donor and recipient of the same species but of disparate genotypes) are also commonly used (figure: cadaver limb sparing allograft; figure: tibia allografts). These represent treated cadaver bone from the donor bone bank. The disadvantages associated with allografts include possible disease transmission, immunogenicity concerns, poor biologic and mechanical properties, increased cost, and unavailability worldwide due to financial and cultural issues (Ruedi, 2007; Hunter, 2003; Parikh, 2002).

The considerable limitations associated with autografts and allografts have prompted increased interest in alternative bone graft substitutes. The development and use of bone graft substitutes is a burgeoning field (Beaman, 2006). Indications for use of bone graft substitutes include fracture augmentation, vertebroplasty, augmentation of defects associated with benign or malignant bone lesions, fracture nonunion, and osteomyelitis (figure: enchondroma treatment; figure: buttress plate with bone substitute; figure: metastatic renal cell carcinoma treatment).

The main types of commercially available bone graft substitutes are demineralized allograft bone matrix, ceramics and ceramic composites, composite grafts of collagen and mineral, coralline hydroxyapatite, calcium phosphate cement, bioactive glass, and calcium sulfate (Hunter, 2003; Parikh, 2002; Larsson, 2002; Petruskevicius, 2002; Wilkins, 1999; Robinson, 1999; Ladd, 1999; Beaman, 2006; Bhatt, 2012). These are fairly common and can resemble a normal bony structure (figure: Puddu titanium plate with hydroxyapatite bone graft wedge). Recent preclinical and bio-mechanical studies with bioactive cements are also promising (Hunter, 2003; Larsson, 2002; Kurien, 2013).

For infected fracture sites as well as for treatment of bone infections, antibiotic beads and antibiotic spacers or antibiotic rods are frequently used. The beads, spacers, and rods are typically composed of polymethyl methacrylate cement containing an antibiotic which diffuses locally into the infected bone when the beads, spacers, or rods are packed into the region of infection. The bead packing cement material also provides mechanical support in areas of missing or weakened bone (figure: antibiotic beads). Cement impregnated antibiotic spacers and antibiotic paste are used mainly after resection of infected joint arthroplasty sites. Antibiotic impregnated calcium sulfate pellets are also used in the treatment of osteomyelitis (Sherry, 2001).

In many cases it can be difficult to differentiate between autogenous bone grafts and allografts. It is also often difficult to differentiate between the various bone substitutes, autogenous or allogenic bone grafts, and antibiotic impregnated cement grafts if sufficient history is not supplied. One should be aware of these different possibilities and recognize when there has been placement of a bone-like structure or material that is probably not a bony fragment from the region of injury, tumor, or infection. Deciding between the various possibilities of bone grafts, bone substitutes, and antibiotic impregnated cement materials can sometimes be helped by the radiographic appearance of the bony site and the clinical picture.

In additon to bone loss in cases of trauma, infection, or tumor, necessitating bone grafting or use of artificial bone substitute, there is often poor bony healing. Even in situations where there is no loss of bone stock, there may be poor or delayed bony healing. Electronic bone stimulators are frequently used after spinal surgery. A simular approach, also known as bone growth therapy, can be used to treat extremity fractures. Bent or broken bone generates a low level electrical field which is thought to be part of the natural bone healing process. The bone stimulators used after spinal surgery and similar devices used in the extremities stimulate the healing with low-level pulses of electromagnetic energy, creating a low-level pulsed electromagnetic field (PEMF).

Spinal bone stimulators are most commonly used for patients with multi-level spine fusions, patients having revision spine surgery after a failed fusion, and patients with a smoking history. These patients are less likely to have a solid bony fusion. Patients who have extremity fractures with extensive soft tissue and vascular damage, patients with diabetes, patients with recent steroid therapy, patients with osteoporosis, and patients who smoke are more likely to have fracture nonunion or delayed healing.

Spinal bone stimulators have traditionally been implanted (internal stimulators), but they can be worn on the outside of the spine (external stimulators) (figure: internal spinal bone stimulator). External stimulators placed externally over the spine or extremity produce a pulsed electromagnetic signal using a coil inserted into a fabric garment worn over the fracture or fusion site (Orthofix) (figure: lower extremity bone stimulator). Extenal low-intensity ultrasound bone growth stimulators are also alvailable for treatment of fracture nonunion (MHCP; Exogen).

Back to Top

Bone graft harvesting
Bone graft harvesting Bone graft harvesting Bone graft harvesting postoperative image Bone graft harvesting postoperative image
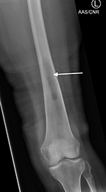
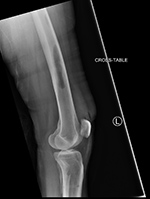
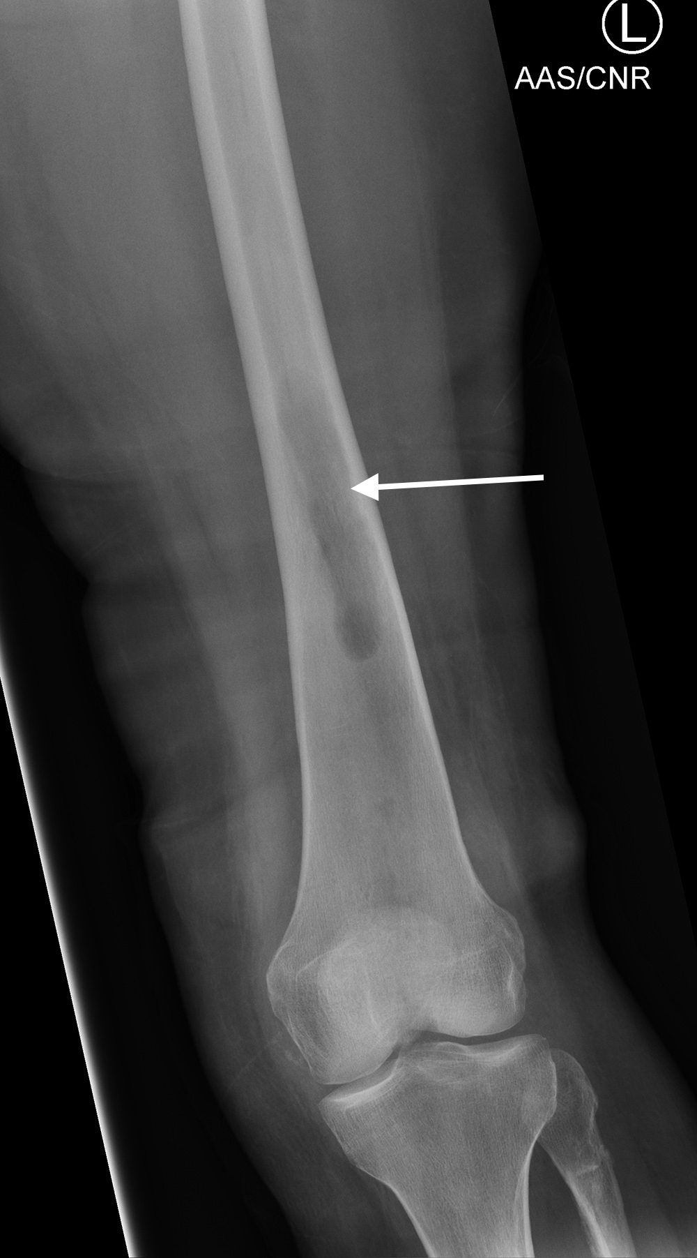
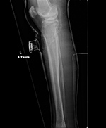
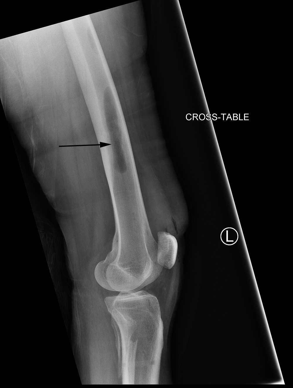
41 year-old woman with left distal tibial pilon fracture with considerable bone loss. Bone graft harvesting to replace the lost bone was done from the left femur using a DePuy Synthes RIA intramedullary bone graft harvest system. The left two images show the reamer in the left femur. The right two images show postoperative gas (arrow) from the bone harvest site. Courtesy Kellon Hansen, MD.
Cadaver allograft

 

Bone substitute used for tumor therapy

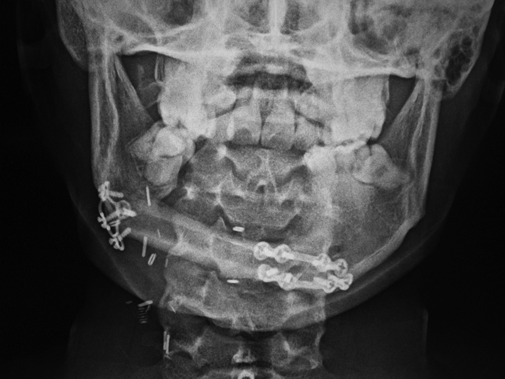
Fibular mandibular reconstruction

Cadaver allograft

Cadaver allograft

Bone substitute placed in curretted enchondroma

Mandibular reconstruction

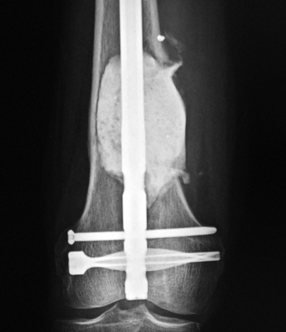
AP and lateral views of the knee show a distal femoral cadevaric limb sparing allograft approximated to the native distal femoral stump by a retrograde intramedullary nail. Two interlocking cannulated screws go through the distal portion of the nail. Cruciate ligament and capsular reattachment were performed with two interference screws and two staples in the proximal tibia and a staple in the posterior aspect of the allograft metaphysis. The patient had a non-specified distal femur sarcoma.

 

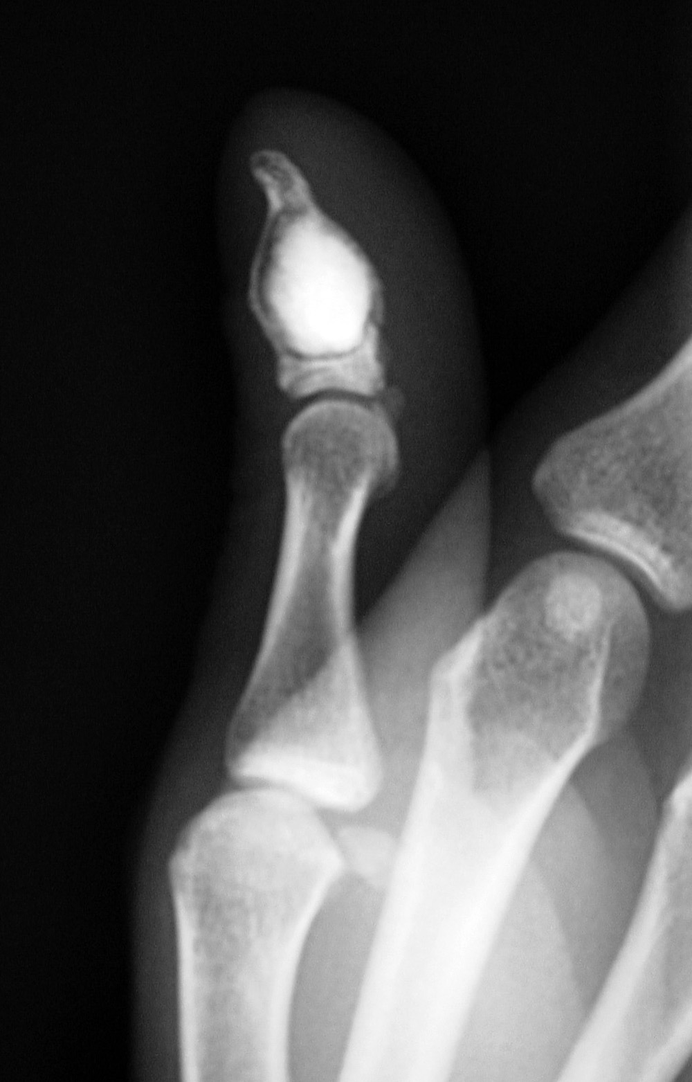
Patient with enchondroma in distal phalanx of the thumb which has been curetted and filled with a bone substitute.

25 year-old woman with mandibular osteosarcoma. The mandible was restored with autologous fibula free-flap reconstruction.

Puddu titanium osteotomy plate with 12 mm hydroxyapatite bone graft wedge

Calcaneal iliac crest autograft

 

Hydroxyapetite bone wedge

Hydroxyapetite bone wedge

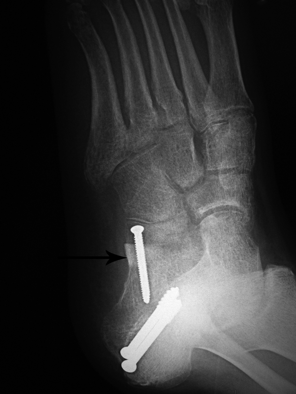
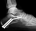
Calcaneal autogenous bone graft

Calcaneal autogenous bone plug

 

 

46 year-old man with posterior tibial tendon tear, Achilles tendon contracture, and planovalgus foot alignment. He was treated with Achilles tendon reattachment and two large partially threaded cancellous bone screws stabilizing a mid-calcaneal osteotomy. In the anterior portion of the calcaneus there is an autogenous iliac crest bone plug (arrow) stabilized by a fully threaded cortical bone screw.

 

Bone allografts

 

Buttress fixation plate and bone graft substitute

Antibiotic beads

Right tibia bone graft

Right tibia bone graft

Buttress plate and bone substitute

Antibiotic beads

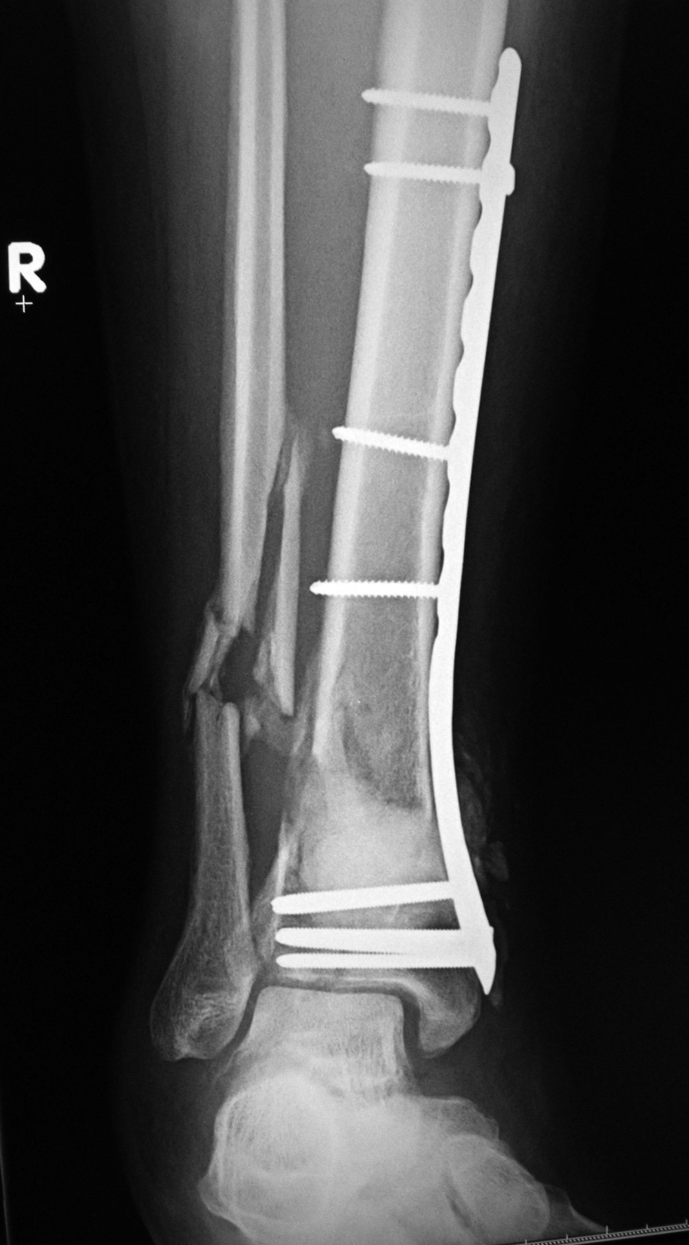
43 year-old man with comminuted right tibia and fibula fractures as well as extensive bone loss and soft tissue injury. A tibial intramedullary nail with proximal and distal locking screws is present as well as multiple rounded bony allografts. There are also large skin staples.

 

63 year-old woman with lateral tibial plateau fracture treated by a lateral buttress plate and Norian bone graft substitute.

The antibiotic laden cement beads were placed in an area of infected bone after removal of a infected fixation plate.

Right tibia periarticular locking plate and bone substitute

 

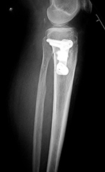
Distal ulna and distal radioulnar joint reconstruction with Rush rod and methylmethacrylate

 

Right tibia LISS plate and bone substitute

Right tibia LISS plate and bone substitute

Left forearm reconstruction

Left forearm reconstruction

There is a ghost track in the calcaneus

 

66 year-old woman with distal ulnar resection for treatment of a leiomyosarcoma

 

Antibiotic beads

 

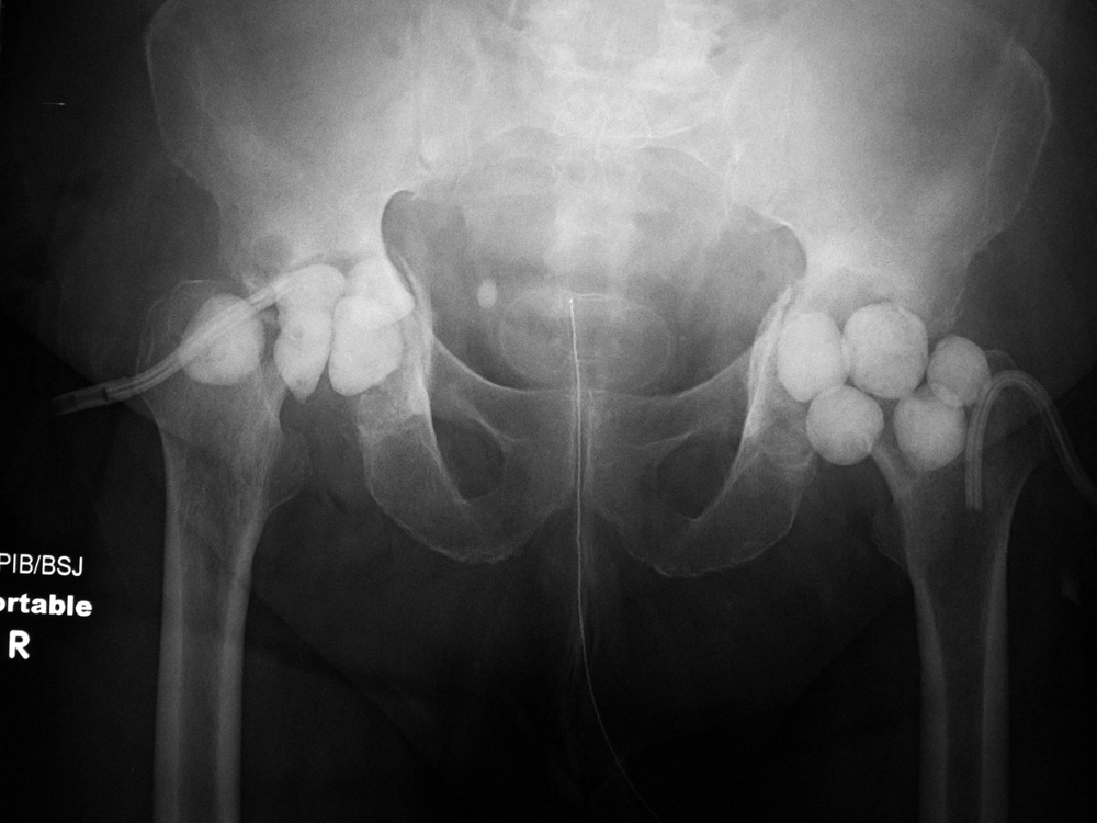
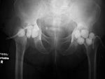
Bilateral hip antibiotic beads in a patient with infected hips after girdlestone procedures

 

Antibiotic beads

Antibiotic beads

Antibiotic beads

Hip antibiotic beads MRI coronal STIR image

The antibiotic laden cement beads were placed in an area of infected bone after an open fracture. A periarticular locking plate is in the distal femur, and a buttress plate and interfragmentary screws are in the tibia.

 

Pelvis radiograph. There are bilateral surgical drains and a catheter with a distended balloon in the bladder.

Later coronal STIR MRI image. The beads have low signal and would not be recognizable without radiographic correlation.

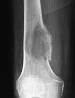
Metastatic renal cell carcinoma with pathologic fracture

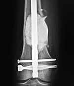
Metastatic renal cell carcinoma pathologic fracture treated with curettage, bone cement, femur intramedullary nail, and distal locking screws

 

Antibiotic laden cement spacer

Bone cement in metastatic renal cell sarcoma

Bone cement in metastatic renal cell sarcoma

Antibiotic cement spacer

 

 

 

36 year-old man with loss of index finger and a portion of the third metacarpal from a gunshot wound. The antibiotic laden cement block is stabilized by a small malleable plate and screws for treatment of third metacarpal bone infection.

bone stimulator    
Ultrasonic bone stimulator AP view Ultrasonic bone stimulator lateral view    
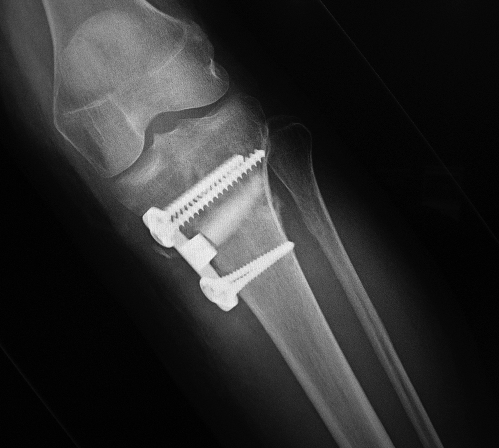
71-year old woman with left proximal tibia and fibula fractures with delayed healing. A bone stimulator was placed to enhance bony healing. Courtesy Kellon Hansen, MD.    

Back to Top

 

Carbon Fiber Implants

Carbon fibers (CF) are used in multiple applications - aerospace systems, civil engineering projects, automotive components, lighting filaments, sporting goods, and surgical implants. Their widespread use derives from their many unique physical, chemical, and biological properties, including high heat tolerance, high strength to weight ratio, corrosion resistance, and conductivity (Hillock, 2014). Carbon fiber reinforced polymer (CFRP) is a combination of carbon fibers and polyethylene. Variations on carbon fibers also include carbon reinforced plastic (CRP), carbon fiber reinforced thermoplastics (CFRTP) and carbon fiber polyether ether ketone (CF-PEEK).

The industrial applications for carbon fibers rivals that for metals and polymers. One of the major disadvantages of carbon fibers are their cost. They are expensive compared to similar metallic elements on a unit mass basis. They cannot be be easily recycled and melted down as can most metals. Recycled carbon fiber materials have reduced fiber lengths which limits their possible applications (Hillock, 2014).

Carbon fiber medical applications are quite diverse ranging from dental orthodontics to fracture fixation plates and limb sparing prostheses (figure: carbon fiber humerus fixation plate) (Hillock, 2014; Hak, 2014). Some of the applications for carbon fiber devices in orthopedic surgery include carbon fiber cervical disk cages, lumbar spine fixation apparatus, and humerus fixation plates (Hak, 2014). Carbon fiber reinforced PEEK tibial nail, dynamic compression plate, proximal humeral plate, and distal volar plate compare favorably to more standard metallic commercially available orthopedic trauma implants (Steinberg, 2013).

Carbon fiber composites more closely mimic the elasticity of bone with a longer fatigue life. Carbon fiber plates and nails are commonly used with titanium screws. Carbon fiber plates and nails are radiolucent on radiographs and produce few artifacts on CT or MRI imaging with minor distortions from the titanium screws. One disadvantage of carbon fiber materials compared to metallic implants is they cannot be bent to the shape of the bone like metallic implants.

CarboFix Orthopedics Ltd (Herzeliya, Israel) and Invibio (West Conshohocken, PA) are two companies specializing in implants made of carbon fibers. CarboFix products include a pedicle screw system made of carbon fiber reinforced polymer with an ultrathin titanium shell, fixation plates for the distal fibula, distal femur, distal radius, and proximal humerus. For example, CarboFix "Piccolo" proximal humeral plates are anatomically shaped for the right and left humerus. They are radiolucent and contain a radiopaque marking outlining the plate (figure: carbon fiber humerus fixation plate; figure: carbon fiber volar radius fixation plate). Invibio manufactures "PEEK-OPTIMA" polymers for multiple uses including hip and knee arthroplasties.

Carbon fiber implants will become more common as their cost is reduced. They currently constitute a very small portion of fracture fixation and joint arthroplasty devices, but their use is expected to expand rapidly, particularly if other manufacturers start introducing carbon fiber based products into their commercial offerings.

Back to Top

 

Fracture Fixation References

 

 


Author contact information

Tim Hunter
Email: hunter@radiology.arizona.edu


COPYRIGHT 2013: TBH
All Rights Reserved

Publisher Contact Information

Main office: USA (New York)
Cambridge University Press
32 Avenue of the Americas
New York, NY 10013-2473

Phone: (212) 337-5000
Email: newyork@cambridge.org