Joint Arthroplasty - Knee
by Tim B Hunter, MD, MSc
Total Knee Arthroplasty
Total knee arthroplasty (TKA) (also known as total knee replacement (TKR)) was introduced in the 1970's. It is mainly performed for advanced osteoarthritis of the knee. It is also sometimes performed for end-stage inflammatory arthritis of the knee. Total knee replacement is by far the most common joint replacement with hip joint replacement a distant second (see Introduction). Approximately 4 million adults in the United States have a total knee replacement, representing 4.2% of the population fifty years of age or older. The prevalence of knee replacement is higher among females than males (~ 1.4 to 1). It is estimated over one-half of the United States adults diagnosed with knee osteoarthritis will eventually under go total knee arthroplasty (Weinstein, 2013).
Both hip and knee replacement have a long track record of success. There is good patient satisfaction with pain relief and restoration of more normal motion at the affected joint. If there is proper patient selection and good surgical technique, both hip and knee joint replacement in older adults can give good to excellent results in 95% of patients. Younger patients may have slightly better clinical outcomes after TKA. However, the long-term survival of the TKA is lower in younger patients (<55) compared to older patients (McCalden, 2013). The survival rate of a hip or knee implant on average is expected to be 95% at 15 years (Insall, 1993).
There is data to suggest TKA for primary osteoarthritis is more successful and longer lasting than TKA for post-traumatic (post-fracture) osteoarthritis of the knee (Lunebourg, 2014). Post-traumatic arthritis of the knee is quite common after intra or extra-articular fractures of the femur or the tibia. In this case articular irregularity, misalignment of the lower limb, and joint instability lead to post-traumatic arthritis. In end stage post-traumatic arthritis when non-operative treatment has failed, knee arthroplasty is an option. There are increased technical difficulties for this type of surgery including old scars, stiffness, possible malalignment, and ligament imbalance (Lunebourg, 2014).
The knee has three articular components - medial and lateral tibiofemoral surfaces and the patellofemoral articulation. The most common knee replacement surgery replaces the femoral articular surfaces with a metallic bicondylar component. The tibial articular surfaces are replaced with a metallic tray carrying a polyethylene surface. The patellar articular surface is also replaced with a patellar polyethylene "button" which may be metal backed (Mulcahy, 2013). Usually the anterior cruciate ligament is sacrificed, because most surgical approaches are anterior.
The posterior cruciate ligament (PCL) may or may not be removed. There are considerably more than 100 different knee implant designs, and it is not possible to know the exact name for a given implant. One should understand a knee implant's basic components and functions and recognize any associated complications. Most modern total knee replacement designs use a cobalt-chrome alloy bicondylar femoral component that articulates with a polyethylene tibia weight-bearing surface. The tibial polyethylene surface is attached to a metallic tray usually composed of a titanium alloy.
A PCL-retaining knee allows for preservation of the posterior cruciate ligament and is a relatively unconstrained design (figure: cruciate retaining TKA). For this type of prosthesis to be successful there must be good bone stock, intact surrounding muscles and ligaments, and a posterior cruciate ligament that remains functional (Mulcahy, 2013).
A posterior-stabilized knee or PCL-substituting knee has removal of the posterior cruciate ligament. This design limits posterior tibial translation in flexion. It contains a posterior cam, deeply dished articular surfaces, plus a third condyle or a central polyethylene post in the posterior middle portion of the tibial insert (figure: cruciate substituting TKA). In flexion this polyethylene post engages a transverse metal cam on the femoral component (Mulcahy, 2013). If the polyethylene post in the tibial insert does not have a metal backing it may not be visible on knee radiography. Usually one can differentiate cruciate-substituting from cruciate-retaining knee arthroplasty
on lateral views. The cruciate-substituting prosthesis often have a larger “box” or thicker femoral component.
The selection of a PCL-retaining or a PCL-substituting design is at the discretion of the surgeon. There is no evidence one design is preferable over the other. Patient satisfaction and implant survival are comparable (Lee, 2012). Some surgeons use a knee arthroplasty design that preserves both the anterior and the posterior cruciate ligaments, even if the anterior cruciate ligament shows evidence of degeneration (figure: bicruciate retaining TKA; figure: Biomet Vanguard bicruciate retaining TKA). The experience with retention of both cruciate ligaments seems similar to other knee arthroplasty designs (Sabouret, 2013).
Knee implants can also be described as fixed-bearing implants versus rotating platform implants (figure: fixed-bearing and rotating platform implants). Fixed-bearing implants have a metal component inserted into the tibia with a polyethylene tray locked into place on top of it. Rotating platform implants have a similar metallic portion inserted into the tibia. The polyethylene surface is placed on a circular stem. The circular stem allows a small amount of rotation of the polyethylene tray on the metallic tibial component giving somewhat more range of motion in the knee compared to the fixed-bearing design (Padgett, 2015). In both cases there is a fixed metallic femoral component. It may not be possible to determine which design has been used on radiographs, and the choice between these designs is determined by the surgeon's experience and preference.
A somewhat less common total knee arthroplasty design is the varus-valgus constrained knee. These implants have a tall tibial post and a deep femoral box with a long ascending femoral stem (figure: constrained knee implant system; figure: varus valgus knee prosthesis). The femoral and tibial components are not linked, and these implants are referred to as unlinked constrained implants. They are most often used for revision arthroplasty, but are sometimes chosen for initial TKA placement (Lee, 2013).
Instability of the knee is an important cause of total knee arthroplasty failure (McAuley, 2003). If there is increased arthroplasty component constraint, instability is reduced, but this increases the forces transmitted to the implant fixation interfaces, possibly leading to aseptic (non-infectious) implant loosening (Morgan, 2005).
Most total knee arthroplasties are performed in patients without substantial knee soft tissue deformity or ligament imbalance. In those cases where patients may have prior patella removal or rheumatoid arthritis with ligamentous laxity and deformity, a posterior-stabilized knee implant may work the best. The varus-valgus constrained implants are usually reserved for patients with substantial coronal plane instability from bony deformity, collateral ligament deficiency, or bony defects (Morgan, 2005).
Rotating-hinge knee implants provide a mechanical linkage between the
femoral and tibial components and are used in
revision and tumor surgery when the bone and
soft tissues about the knee are severely damaged. These are highly constrained devices (figure: rotating-hinge knee implant; figure: rotating-hinge knee implant with failure). The tibial and femoral components are linked via a hinge which considerably limits varus-valgus and translational movement. The knee can only rotate approximately 10 degrees from flexion to extension (Mulcahy, 2013). Other variations on total knee arthroplasty designs have been introduced including a medial pivot knee design and a high flexion knee design.
The most common patellar "button" or resurfacing uses a polyethylene component cemented into the cut surface of the patella (figure: patellar and tibial components). The patellar component usually has three small pegs for cement fixation to the patella. Metal backed patellar components are not used as much as they seem more prone to osteolysis, loosening, and metallic particle disease. Patellar resurfacing is almost universal with total knee replacement, because early total knee prostheses did not include patellar replacement and were associated with an approximate 50% rate of anterior knee pain, patellar subluxation, patellar maltracking, and patellar dislocation (Schiavone, 2014).
Patellar resurfacing is not without its problems including patellar fracture, button dislocation, osteonecrosis, polyethylene wear, loosening, instability, and rupture of the extensor mechanism (figure: patellar button dislocation). There does, however, appear to be a lower risk of re-operation after patellar resurfacing versus leaving the native patella untouched. Patellar resurfacing is probably as important as the tibiofemoral replacement for the long term survival of a total knee prosthesis (Schiavone, 2014).
Back to Top
Most knee arthroplasty components are cemented in place. There is a general impression cementless designs are more prone to early failure. None-the-less, several cementless TKA designs are available with good results. There is, in fact, no hard evidence to support the concept that fixation techniques alone affect the durability of a total knee arthroplasty (Wang, 2014). The optimal fixation method for TKA remains to be determined.
Knee radiography is standard for the preoperative and postoperative evaluation of patients with total knee arthroplasty. Orthopedic surgeons typically include weight-bearing anteroposterior radiographs of both knees and lateral weight-bearing or non-weight-bearing radiographs of both knees. Both knees are included so the sides can be compared for reference.
Nowadays preoperative templating is used for selecting the appropriate prosthesis for the patient. This digital templating has replaced the previously used acetate overlays with outlines of the TKA components. These overlays were laid directly on hard copy knee films. The templating is now performed with software on workstations or even office computers with the appropriates software.
Bilateral preoperative radiographs are also obtained, because it is sometimes anticipated both knees will undergo replacement, either in one operative setting or more likely in two operative settings somewhat removed from each other over the course of a year or so. Bilateral total knee replacement in one operative setting is not uncommon but somewhat controversial and requires good patient selection criteria. In the proper circumstances there does not appear to be any significant differences in 90-day mortality, thrombotic events, or infections between patients receiving same day bilateral TKA versus those who have a staged arthroplasty (Bini, 2014).
Postoperative radiography of a total knee replacement often includes limited portable frontal and lateral views in the immediate postoperative period in the hospital. These are then followed with routine views of the knee in anteroposterior, lateral, and tangential axial (Merchant) positions at the first outpatient visit six weeks after surgery. Follow-up radiographs after that are obtained as considered appropriate for the individual patient (Mulcahy, 2013). Most of the time the anteroposterior images will be obtained with the patient upright and weight-bearing. Some orthopedists also like to use the three foot standing anteroposterior view of the lower extremities. This is a three joint view with the hip, knee, and ankle visualized on the same image. It is helpful for preoperative planning, for assessment of the mechanical and anatomic axes, and for postoperative assessment of joint alignment of the lower extremity.
The alignment of a total knee replacement varies depending on the design. The anatomic axis of the femur is the center line along the femoral shaft passing through the center of the distal femur, while the mechanical axis of the lower extremity extends from the center of the femoral head to the center of the talar body passing just medial to center or through the medial part of the medial condyle of the distal femur. The mechanical axis of the lower extremity does not necessarily correspond to the weight bearing line (WBL) of the lower extremity The tibial and femoral components of a knee arthroplasty should be perpendicular to the mechanical axis of the lower extremity.
The angle between the mechanical axis of the femur and the anatomic axis of the femur determines how well the femoral component is placed. In general, the femoral component should be oriented in 4°–7° of valgus on the
anteroposterior projection and neutral to minimal
flexion on the lateral radiograph (figure: TKA evaluation). The femoral component simulates the original anteroposterior configuration of the femur. It may appear “undersized” on the anteroposterior radiograph.
The anterior flange of the femoral component should be flush with the
anterior cortex of the femur on the lateral view. The tibial component should be perpendicular to the long axis
of the tibia on the anteroposterior projection. On the lateral projection the tibial component should be
perpendicular to having slight flexion (3°–6°) [posteriorly sloped] on the long axis of the tibia (Taljanovic, 2003).
While the orientation of various knee arthroplasty designs vary, more than 5° of varus or valgus of the
tibial component on the anteroposterior views is considered abnormal (figure: failure of bilateral knee arthroplasty). The tibial component of the arthroplasty should maximize coverage
of the proximal tibial surface and should not overhang
the bony surface more than 1–2 mm
(Insall, 1993). Otherwise, there may be considerable soft tissue irritation.
The patellofemoral alignment is assessed by an axial view (Merchant or equivalent) of the knee. This is usually performed at 30 to 45° of knee flexion. The prosthetic patellar component should be centered over the trochlear notch of the femoral component. The thickness of the patella with its prosthetic patellar component should not be greater than the original thickness of the former native patella. Otherwise, there will be stress on the extensor mechanism and probable abnormal polyethylene surface wear.
The angles and measurements for radiographic evaluation of a total knee prosthesis can rapidly become very complex and confusing with slight differences in how axes and angles are measured from observer to observer. CT is necessary for specifically evaluating the rotational alignment in a total knee arthroplasty (Mulcahy, 2013). In most instances, it is probably best to evaluate a knee prosthesis subjectively looking for overt signs of misplacement or other complications rather than worrying about detailed measurements.
Back to Top
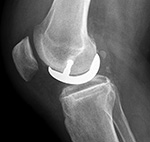
| Posterior cruciate retaining total knee arthroplasty (TKA) |
Posterior cruciate substituting total knee prosthesis and patellar resurfacing. |
 |
 |
 |
 |
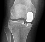
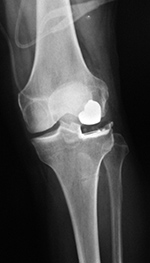
| 68 year-old woman treated for severe left knee osteoarthritis |
Note the large distal femoral box. There is a surgical drain in the suprapatellar space. |
 |
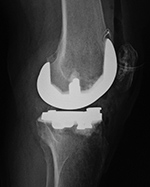
| Posterior cruciate retaining total knee prosthesis with cementless femoral and cemented tibial component and patellar resurfacing |
Stryker Triathlon PSC total knee arthroplasty
- posterior cruciate removal prosthesis |
 |
 |
 |
 |
| There is a postoperative drain and skin staples. From Taljanovic, 2005 |
There is also a surgical drain and skin staples in place. 65 year-old woman. |
 |
| Contemporary total knee arthroplasty with UHMWPE patellar and tibial components |
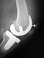
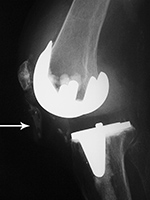
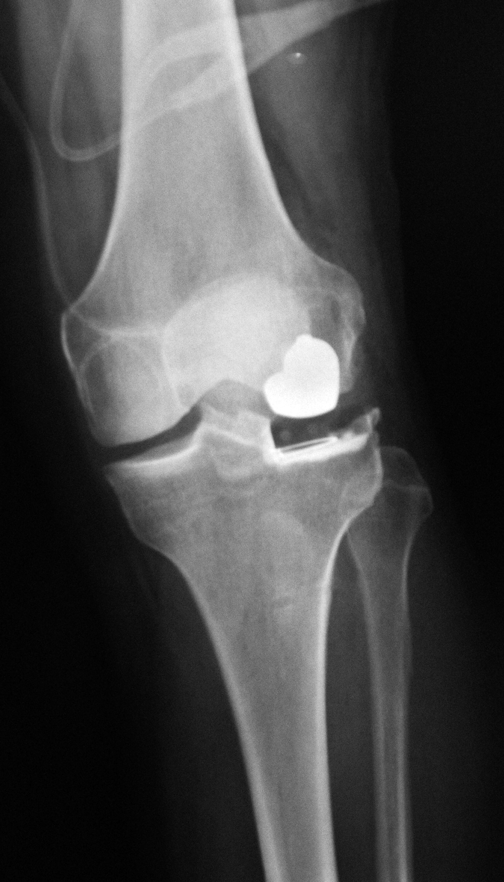
Left total knee prosthesis patellar button dislocation |
Right total knee prosthesis patellar button dislocation |
 |
 |
 |
 |
| Patellar component and tibial insert are UHMWPE. Figure from Benjamin, 1994 |
The patellar button is dislocated superiorly (arrow). |
The patellar component (button) is dislocated inferiorly (arrow) |
 |
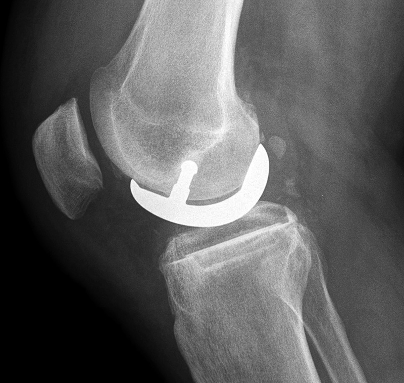
| Unicompartmental knee prosthesis placed in the medial compartment (AP view) |
Unicompartmental knee prosthesis placed in the medial compartment (lateral view) |
Unicompartmental knee prosthesis placed in lateral knee compartment |
 |
 |
 |
 |
| From Taljanovic, 2005 |
50 year-old man with lateral knee compartment degenerative osteoarthritis |
 |
| Biomet XPA Bicruciate Preserving total knee arthroplasty |
Biomet Vanguard 360 Revision Knee System |
 |
 |
 |
 |
| 67 year-old woman. A surgical drain is present from recent surgery. From Taljanovic, 2005 |
This replaced a loose prior total knee arthroplasty. The patellar button was left in place. A surgical drain is in place, and there is subcutaneous gas from the recent surgery. |
 |
| Total Knee arthroplasty (TKA) Evaluation |
|
 |
 |
 |
|
| 67 year-old woman. Postoperative images of a Biomet XPA Bicruciate Preserving TKA. Same patient as above. On the AP view (left image) the femorotibial angle is the intersection between the femoral anatomic axis (blue line) and the tibial anatomic axis (orange line). The femoral component should be centered along the femoral anatomic axis, and the tibial component should be perpendicular to the tibial anatomic axis. The femorotibilal angle should be 4-7° valgus. On the lateral view (right image) the femoral component should be roughly perpendicular to the femoral anatomic axis (orange line), and the tibial component should be perpendicular to the tibial anatomic axis (blue line) or have slight flexion (3°–6°) [posteriorly sloped]. |
Same patient as left two images. Another way to evaluate the TKA on the lateral view is to draw line C-D through anterior and posterior margins of the femoral component and line A-B perpendicular to line C-D. Line E-F is along the anatomic axis of the femur. The angle between lines A-B and E-F should approximate 30°. |
|
Back to Top
|