|
|
|
Joint Arthroplasty - Hip
by Tim B Hunter, MD, MSc
Hip Arthroplasty
Modern total hip arthroplasty was developed by the British surgeon John Charnley in the 1960s (Charnley, 1964; Mulcahy, 2012). It represented a milestone in the development of modern joint arthroplasty. The first successful joint arthroplasty showing decent long term results followed the work of Charnley. Disabling pain from severe osteoarthritis is the main indication for total hip arthroplasty (THA). Hip destruction from osteonecrosis, inflammatory arthropathy, and infectious arthritis are also common indications for THA as are hip fractures in the elderly and extensive benign or malignant tumors around the hip. In fact, for patients older than 65 with intracapsular hip (femoral neck) fractures treatment with hip arthroplasty is sometimes preferred instead of open reduction and internal fixation of the fracture (HEALTH, 2019; Gjertsen, 2019).
An absolute contraindication
for hip arthroplasty is an active pelvic, hip, or thigh infection or a systemic infection. Morbid obesity, neurological dysfunction, and history of a remote infection are relative contraindications. Given the appropriate conditions, total hip arthroplasty may be considered for patients of any age group after skeletal maturity. Though there is a preference for postponing hip arthroplasty as long as possible in young adults, modern arthroplasty designs permit successful hip replacement in patients under 30 (Adelani, 2013; Gililland, 2013).
Partial Hip Replacement
There are three basic types of hip arthroplasty. Partial hip replacement or hip hemiarthroplasty replaces the femoral head and neck and leaves intact the native acetabulum. Hip hemiarthroplasty may consist of a single metallic unit, a unipolar hemiarthroplasty or endoprosthesis (figure: hip endoprosthesis). Or it may consist of a bipolar hip hemiarthroplasty in which there is replacement of the femoral head and neck and placement of a prosthetic acetabulum which is press fit into the native acetabulum. The bipolar hip prosthesis acetabulum is a polyethylene lined metal cup. It fits into a small femoral head which is locked to the attached metal femoral stem (Mulcahy, 2012). The bipolar hip hemiarthroplasty allows motion between the prosthetic femoral head and the polyethylene lined cup as well as between the cup and the native acetabulum (figure: bipolar hip prosthesis).
Approximately one-half of hip fractures occur in the femoral neck (intracapsular hip fracture). The unipolar hemiarthroplasty (endoprosthesis) is typically used in
elderly patients with lower life expectancy for
treatment of intracapsular hip fractures. There is removal of the femoral head and placement of a press-fit or cemented
femoral component with a head diameter that
matches that of the acetabulum and articulates
directly with the native acetabular articular cartilage. This is a less traumatic surgery for the patient and enables the patient to have reasonable ambulation quickly after surgery.
There is controversy about fixation of the hemiarthroplasty to the femoral bone. If it is not firmly fixed to the femur, it can loosen and cause pain restricting patient activities. Implants fixed with bone cement have less postoperative pain and better motility than the early press fit implants. Newer hydroxapatite coated hemiarthroplasty uncemented implants may provide more reliable fixation. Injection of bone cement during implant surgery has been avoided by many surgeons as in rare occasions it may lead to significant drop in patient blood pressure, cardiovascular collapse, and death, so-called bone cement implantation syndrome (BCIS). Recent work suggests for patients 60 or older with an intracapsular hip fracture, cemented hemiarthroplasty results in a modestly better quality of life and a lower risk of periprosthetic hip fracture versus uncemented hemiarthroplasty (Fernandez, 2022; Rogmark, 2022).
The comfort of an endoprosthesis and the hip motion it allows is expected to be less than that with a bipolar hemiarthroplasty or a full total hip arthroplasty, which are more complex surgeries having longer recovery times. However, bipolar hemiarthroplasty and total hip arthroplasty generally give patients better range of motion and are more comfortable.
Because of the motion at
both interfaces, bipolar hip hemiarthroplasty
tends to be less prone to dislocation than an endoprosthesis. It also theoretically
results in less wear of the acetabular articular
cartilage that would eventually lead to pain and acetabular
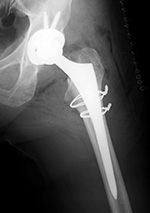
protrusio (Berquist, 1995; Benjamin, 1994). There are variations on the standard bipolar hip prosthesis with claw plates or cerclage wires used to stabilize the stem of the prosthesis (figure: bipolar hemiarthroplasty with claw plate).
Back to Top
Total Hip Replacement
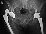
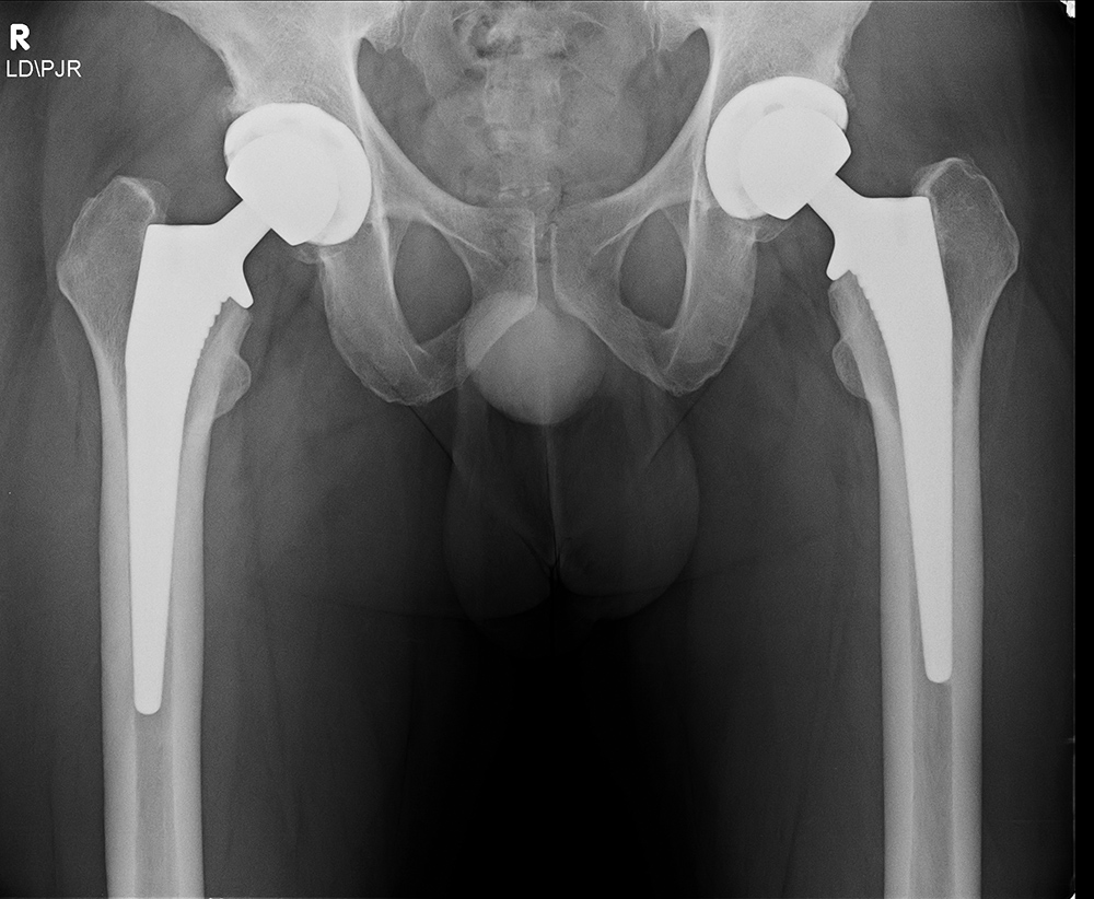
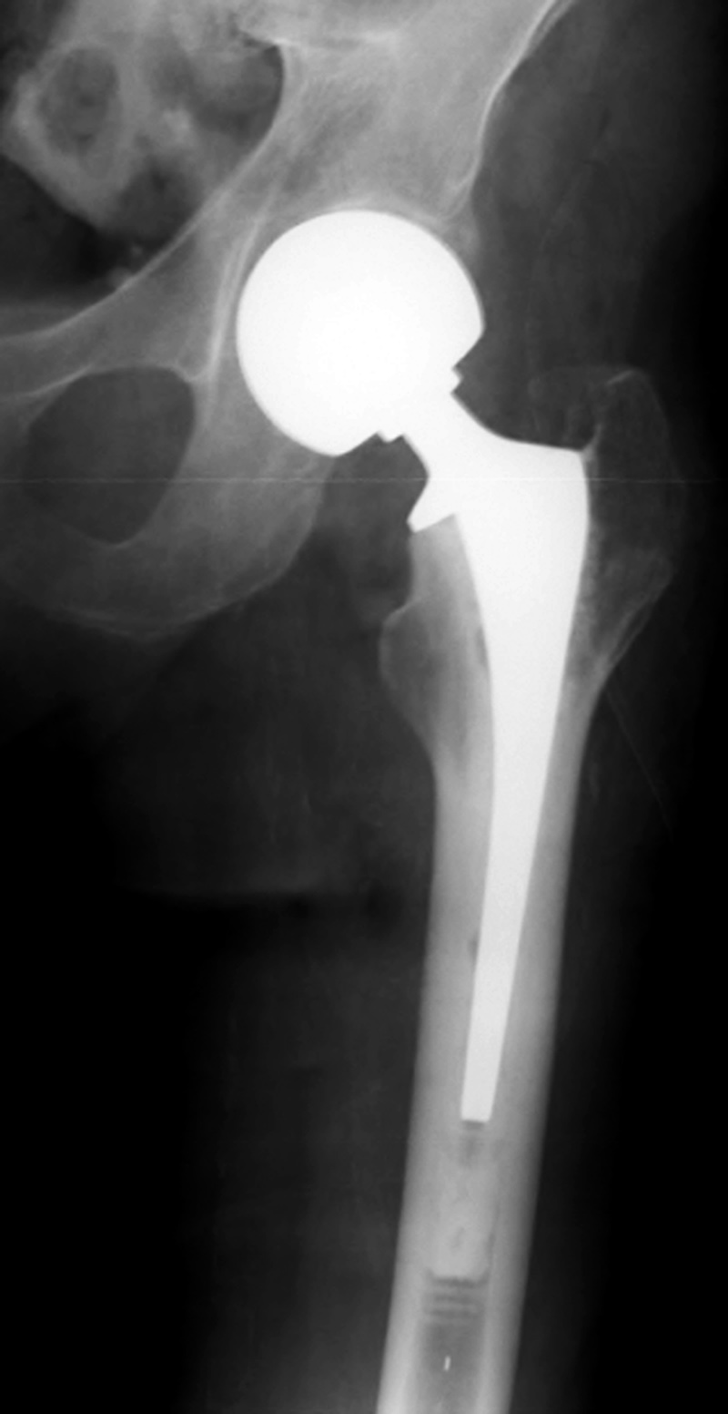
Total hip arthroplasty (THA) is the most common total hip replacement. It uses two components, a stemmed femoral component with a prosthetic femoral head and a prosthetic acetabular component (figure: modular total hip arthroplasty; figure: bilateral total hip arthroplasty). In 2011 there were 306,000 total hip replacements which is only second to 645,062 total knee replacements (AAOS). There were also estimated to be 105,509 partial hip replacements.
The acetabular and femoral total hip arthroplasty components may be cemented in place or
noncemented. Most modern hip arthroplasty systems
are modular. The acetabular shell, acetabular liner, femoral head, and femoral stem are separate pieces (figure: modular total hip arthroplasty). This allows the surgeon to customize each prosthesis for size and fit. Unfortunately, this can sometimes create problems at the interfaces between the modular components with disengagement and fretting. Classically, the articulating surface between the femoral head and the acetabular lining is metal (femoral head) against polyethylene (acetabular lining).
Bone cement is used to fill voids between the bone and the implant rather than acting as an adhesive. A plug is placed in the medullary space to keep the cement somewhat contained and allows the cement to be injected under pressure (Mulcahy, 2012).
If cementless fixation is used, the component is "press fit" into place, usually into a cavity somewhat smaller than the component itself. It is common to see fixation screws with the acetabular component which are often included for patients with significant acetabular bone loss or because of
surgeon preference (figure: bilateral total hip arthroplasty). Rough or porous surfaces on the prosthetic materials facilitate bone ingrowth and are usually the basis for cementless fixation. The surfaces may be treated with bioactive
coatings, such as hydroxyapatite, or with sintered beads, fiber mesh, or porous metals (Mulcahy, 2012).
Acetabular
components usually have the porous coating over
the entire surface of the cup, while femoral
components are either partially coated proximally
or fully coated (figure: porous coated acetabular components; figure: porous coated femoral stem). The choice of cemented or noncemented designs depends on patient selection and the surgeon's preference. Generally, cemented acetabular components are recommended for patients who require acetabular bone grafting due to poor bone stock or due to tumor or injury. Patients who have previously received a high dose of radiation often require cemented acetabular components.
For patients younger than 65 with a normal life expectancy and adequate bone mass, cementless femoral stems are preferred (figure: bilateral total hip arthroplasty in 38 year-old man). It is possible that a femoral stem which has become well ingrown will not require revision, even if the acetabular component, and the articulating femoral head may need revision in the future. However, as in most cases with orthopedic surgery, the choice of components and the use of cemented or cementless femoral component depends on the surgeon's preference and experience. With any type of joint replacement, there is concern for its longevity and the need for ultimate revision or complete replacement. Revision surgery is usually not easy and may not have good results. Therefore, joint replacement is avoided as much as possible in younger patients and put off as long as is reasonable.
Femoral stems are composed of alloys, usually of titanium or cobalt chromium, but sometimes stainless steel is used. If they are monolithic, there is a single component with both a head and stem. If they are modular, they consist of a separate head and a separate stem which have been assembled together. There may be separate necks and collars with the collar designed to fit against the femoral calcar. Smooth stems which are highly polished are designed for sinking (subsiding) into position in the cement within the first postoperative month (Mulcahy, 2012). Stems with roughened surfaces often have a collar and are designed to increase bonding with cement. Often, the stem has a sagittal plane curve to make it fit the anatomic curve of the femur.
The weight-bearing articulating portion of the prosthesis is the articulation between the acetabulum and the femoral head. The femoral head components are composed of either metal or ceramics. The acetabular lining is most often composed of polyethylene which then articulates with either the ceramic or metallic femoral head. This femoral head metal or ceramic articulation with a polyethylene acetabular liner is called hard-on-soft.
Hard-on-hard articulations are metal-on-metal, ceramic-on-ceramic, or metal-on-ceramic; i.e., both the acetabular and the femoral articulating surfaces are composed of a "hard" substance as opposed to a "soft' substance, polyethylene. The most common articulation is metal-on-polyethylene, hard-on-soft (Mulcahy, 2012). Likewise, the most commonly used types of total
hip prostheses in North America are hybrids. They have a cementless acetabular and a cemented femoral component. This is
a regional preference, and it may not necessarily be
true worldwide. If revision is necessary, removal
of a noncemented prosthetic component is
technically simpler. It is less traumatic to the patient and often does not entail as
much bone loss (Galante, 1998).
Femoral head component size varies from 22 to 32 mm in diameter. Metal-on-metal systems may use larger diameter heads up to 38 mm (figure: metal-on-metal total hip arthroplasty; figure: right hip metal-on-metal arthroplasty). The acetabular component orientation varies depending on the surgical approach, bone stock, and the preference of the surgeon.
Radiography is essential for the evaluation of hip arthroplasty. A standard AP view of the pelvis and a cross-table lateral view of the pelvis are usually recommended (Jacobson, 2015). A standing AP pevic radiograph is often also included. The preferred position for the acetabular cup is 40°–50° of abduction
from the horizontal plane and 20° anteversion
from the coronal plane (figures: hip arthroplasty evaluation). The prosthetic femoral head is evaluated for its vertical and horizontal positions relative to the contralateral normal hip, when present, in a number of ways (Manaster, 1996; Mulcahy, 2012; Jacobson, 2015; Deshmukh, 2019). One method for evaluating the vertical position of the femoral head is to draw a line (A) tangential to the ischial tuberosities, a line (B) tangential to the tops of the greater tuberosities, and a line (C) through the centers of the femoral heads whether a prosthetic femoral head or a native femoral head. Ideally, these lines should be parallel. To evaluate the horizontal position of the femoral head the distances between the femoral heads and the tops of the acetabular tear drops on each side are measured. Ideally, these distances should be equal.
Limb length discrepancy can also be evaluated by using the anteroposterior standing pevic radiograph to compare contralateral hips. The vertical distance between a horizontal line through the bilateral acetabular teardrops and a parallel line at the level of the centers of the lesser trochanters gives a good indication of relative leg lengths (Deshmukh, 2019).
Anteversion of the acetabular component is evaluated on the true cross-table lateral radiograph of the hip with normal anteversion being 15-20°, although a range of 5-25° is considered normal. On a true lateral radiograph anteversion can only be truly qualitatively estimated. The apparent angulation is affected by pelvic or thigh rotation and the inherent limitations of cross-table lateral hip radiography. If more exacting measurement of anterversion is required, particularly measurement of femoral anteversion, it should be assessed with CT (Manaster, 1996; Mulcahy, 2012; Deshmukh, 2019).
Regardless of the fixation used, the preferred
position of the femoral component is with the stem centered in the femoral
canal on the anteroposterior view. The center of
rotation of the prosthetic femoral head should be at the
level of the greater trochanter. The position of the
stem can vary somewhat depending on the patient’s preexisting
anatomy (Manaster, 1996). If the femoral stem tip is against the lateral femoral cortex, failure of the stem is more likely (Deshmukh, 2019). Surgeons performing hip arthroplasty have their own preferred methods for evaluating the arthroplasty results usually relying on standard radiography coupled with the individual patient's clinical presentation.
Back to Top
| Unipolar hip hemiarthroplasties (endoprostheses) |
Unipolar hip hemiarthroplasty (endoprosthesis) with a cemented femoral component |
Modular non-cemented unipolar hip hemiarthroplasty (endoprosthesis) |
Bilateral total hip arthroplasty (THA) |
 |
_cemented_AP_small.jpg) |
 |
 |
| These are single piece prostheses press fit into the native acetabulum and the native femur. From Benjamin, 1994 |
Note the collar abutting the femoral calcar. From Benjamin, 1994 |
Note the collar abutting the femoral calcar. |
38 year old man with bilateral THA for advanced osteoarthritis. |
 |
| Bipolar hemiarthroplasty (prosthesis) |
Bipolar hemiarthroplasty (prosthesis) |
Bipolar hemiarthroplasty (prosthesis)
|
 |
 |
 |
 |
| A free riding acetabular cup is press fit into the native acetabulum. The acetabular cup articulates with a prosthetic femoral head and stem component. From Benjamin, 1994 |
From Benjamin, 1994 |
92 year-old woman treated for left femoral neck fracture. From Taljanovic, 2005 |
 |
| Bipolar hemiarthroplasty with claw plate and cables
|
Bipolar hip prosthesis with cable plate (cables passed through the plate) |
Two types of porous-coated acetabular components |
 |
 |
 |
 |
| 78 year-old woman with prior bipolar hemiarthroplasty; presently treated with claw plate and cables for intertrochanteric fracture.
|
The cable plate and wires stabilize a periprosthetic femoral shaft fracture. From Taljanovic, 2005 |
From Benjamin, 1994 |
 |
| Bilateral total hip arthroplasty; right hip arthroplasty dislocation |
Modular non-cemented total hip prosthesis (THA) |
Total hip prosthesis femoral components |
 |
 |
 |
 |
| Elderly woman with bilateral press fit total hip arthroplasties. There is a dislocation on the right. |
Implants consist of a proximally porous coated stem and prosthetic head and a porous coated metal acetabular component with a polyethylene liner. From Benjamin, 1994 |
There is a variation in the head diameter. Two components on the right have ceramic heads. From Benjamin, 1994 |
 |
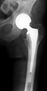
| Total hip arthroplasty with cerclage wires |
Total hip arthroplasty with porous coated stem |
Metal-on-metal right hip total arthroplasty
|
 |
 |
 |
 |
| |
The cerclage wires were placed because a femoral shaft fracture (not visible herein) occurred during the prosthesis placement. There is subcutaneous gas from recent placement of the prosthesis. From Taljanovic, 2005 |
67 year-old woman
|
 |
| Dislocated total hip arthroplasty |
Revision total hip prosthesis |
Triflange acetabular component total hip revision arthroplasty with long femoral stem |
Triflange acetabular component total hip revision arthroplasty |
 |
 |
 |
 |
| Most hip arthroplasty dislocations are posterior. From Benjamin, 1994 |
The revision prosthesis was placed because of an earlier periprosthetic fracture. There are two cable wires proximally and two cerclage wires distally. |
|
83 year-old woman |
 |
| Bilateral total hip arthroplasty (THA) |
 |
 |
 |
 |
| 38 year old man with bilateral THA for advanced osteoarthritis. The acetabular cup on an AP view of the pelvis should have 30-50 degrees of lateral inclination, which is measured as the angle between the rim of the acetabular cup and a line tangential to the ischial tuberosities. |
38 year old man with bilateral THA for advanced osteoarthritis. On a true cross-table lateral view of the hip there is normally 5-25 degrees of anteversion which is measured as the angle between the rim of the acetabular cup and a line drawn perpendicular to the horizontal surface. |
38 year old man with bilateral THA for advanced osteoarthritis. The distances from a line (C) between the centers of the femoral heads to a line running tangential to the ischial tuberosities (A) should be equal on each side, and the distances between the centers of the femoral heads to a line (B) running tangential to the tops of the greater trochanters should be equal on each side. Lines A, B, C should be parallel. |
38 year old man with bilateral THA for advanced osteoarthritis. The distances from the centers of the femoral heads on each side to the tops of the acetabular tear drops should be equal. |
 |
| Radiographic zones for acetabular and femoral prostheses on AP view |
Radiographic zones for femoral prosthesis on lateral view |
Radiographic zones for femoral head resurfacing |
|
 |
 |
 |
|
| From Benjamin, 1994 |
|
|
|
Back to Top
|