Joint Arthroplasty - Hip continued
by Tim B Hunter, MD, MSc
Hip Prosthesis Failure
Non-infectious (aseptic) loosening of prosthetic components is
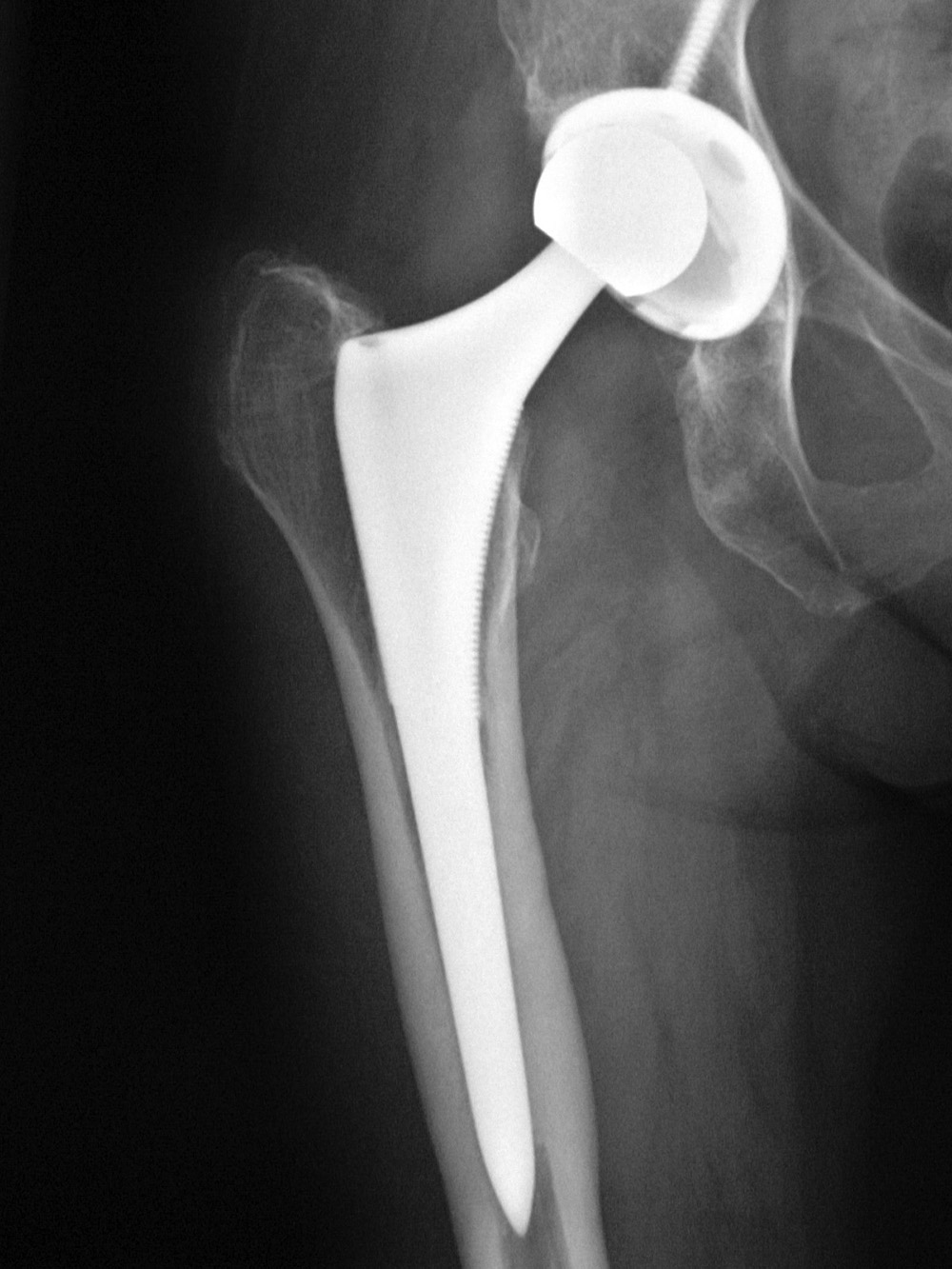
still the most common cause for hip implant failure and subsequent revision surgery. Loosening may be from mechanical stress with failure of the implant binding to the surrounding bone. There may be degradation of the cement-bone interface. Wear on the articular surfaces can produce tiny polyethylene particles or metallic particles which migrate from the joint and lessen bony healing giving subsequent osteolysis and eventual implant loosening (figure: focal osteolysis). The failure can occur at the prosthesis-bone interface, prosthesis-cement interface,
or cement-bone interface. Progressive development of radiolucent areas greater than 1 mm at these interfaces is worrisome for prosthesis loosening (figure: osteolysis at tip of femoral stem).
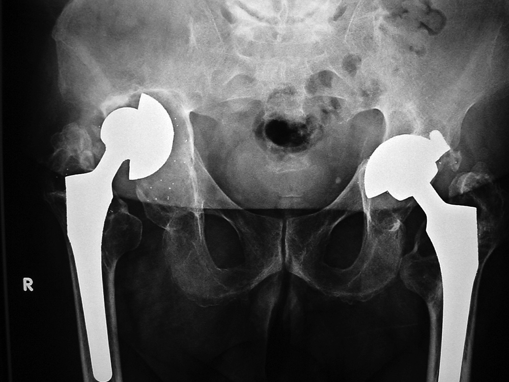
The acetabulum has traditionally been divided into three zones: zone 1-superolateral; zone 2-central; zone 3-medial aspect of the bone-acetabular interface (figure: acetabular and femoral zones). A radiolucent
area greater than 2 mm in any of these three acetabular zones or superior or medial migration of the acetabular cup is indicative of loosening. A change in inclination of the cup is also indicative of loosening (figure: particle disease with osteolysis and cup loosening).
The femur has traditionally been divided into seven zones (1-7) on the anteroposterior (AP) view: zones 1-3 at the lateral side proximal to distal; zone 4 at the tip of the femoral stem; zones 5-7 at the medial side going distal to proximal. On the lateral view the femur is divided into zones 8-10 at the anterior side proximal to distal; zone 11 at the tip of the femoral stem; and zones12-14 on the posterior side going distal to proximal (figure: AP acetabular and femoral zones; figure: Lateral femoral zones). In any of these zones on any view, a radiolucent area greater than 2 mm is indicative of loosening (Berquist, 1995; Freiberg, 2001; Benjamin, 1994; Galante, 1998; Manaster, 1996; Deshmukh, 2019) (figure: femoral osteolysis).
Back to Top
Periprosthetic bone remodeling often occurs after hip arthroplasty. There are significant stress alterations
in the proximal femur and pelvis after prosthesis
implantation with areas of stress shielding, an adaptive atrophy in a region with less mechanical stress than previously. Cortical bone requires continued mechanical stress for it to maintain its integrity. Stress shielding can be seen as one or more areas of focal resorption which are most common in the proximal medial femoral cortex and in the superomedial acetabulum (Benjamin, 1994; Mulcahy, 2012). Because of the alterations in bone stress, distal cortical thickening is commonly seen in the femur. The bony remodeling found around cementless acetabular components are
most commonly due to resorption of the subchondral
plate and relative osteoporosis in zone 2.
Charnley in the 1960's was the first to recognize focal osteolysis about hip prostheses. It was initially believed to be related to the cement used to anchor the prosthesis. Since then, it has become evident that any small particles (metal, cement, or polyethylene) may play a role initiating osteolysis. One in eight total hip replacements need revision within 10 years, often because of wear related complications. Bearing surfaces are made of cobalt-chromium, stainless steel, other metal alloys, ceramics, polyethylene, or a combination of these. Friction between the moving surfaces and corrosion of non-moving areas may produce particulate material and can also result in increased local and systemic metal concentrations (Bradberry, 2014).
When local particulate matter becomes prominent and threatens or causes prosthesis failure, it is called particle disease or metallosis (figure: particle disease in right hip implant; figure: particle disease left hip CT; figure: left hip polyethylene liner wear; figure: metal-on-metal prosthesis with metallosis). See the discussion of adverse reaction to metal debris in Orthopedic medical devices and cross-sectional imaging: protocols and artifacts - MRI.
The prosthetic femoral head should sit in the center of the prosthetic acetabulum with symmetrical spacing between all aspects of the femoral head and the acetabulum. An eccentric
position of the femoral head component within
the acetabular component usually signifies abnormal polyethylene
wear and eventual prosthesis failure (figure: right hip polyethylene wear). Polyethylene wear can produce a granulomatous reaction with bony osteolysis and possible soft tissue mass which might be misinterpreted as a malignancy. A displaced polyethylene liner has a similar appearance to abnormal polyethylene liner wearing; in any case, distinction between the two is not necessary as an eccentric position of the femoral head component signifies prosthesis failure (figure: right hip displaced polyethylene liner).
Femoral stem fracture is rare but was seen more commonly
in the past when alloys with relatively low
fatigue strength (stainless steel) were used for
the prosthesis. Prosthesis breakage
has become rare with the introduction of high-strength metal alloys, such as cobalt-chromium
alloy, titanium alloyed with aluminum and vanadium, or
high-strength stainless steel (Galante, 1998).
Metal-on-metal implants have become particularly controversial (figure: right hip metal-on-metal arthroplasty). DePuy voluntarily recalled the ASR XL metal-on-metal implant worldwide in 2010 because of a high revision rate (Ardaugh, 2013; FDA Hip Recalls). In the United Kingdom there was an approximate 13% revision rate for this device within 5 years. Two concerns have developed for metal-on-metal implants-somewhat high failure rates and possible systemic cobalt toxicity from high cobalt blood levels (figure: metal-on-metal prosthesis with metallosis). It appears that the greatest risk of systemic cobalt toxicity probably results from abnormal wear of a cobalt containing revision of a previously failed ceramic prosthesis instead of from primary failure of a metal-on-metal prosthesis (Bradberry, 2014). There is also data to suggest repeated measurement of metal ion (cobalt or chromium) levels does not provide useful information for clinical decision making (Reito, 2014).
The revision rate for a given prosthesis depends on a number of factors including prosthesis design, patient selection, and the surgeon's experience (Dy, 2014). Younger age and low hospital volume among other things increase the risk of undergoing early revision arthroplasty. The probability of undergoing early aseptic (non-infectious) revision is about 4% at five years. The probability of having a revision due to sepsis at 5 years is less than 1% (Dy, 2014). Long term follow-up in selected patients suggests both metal-on-metal and metal-on-polyethylene arthroplasties are safe based on the mortality of the recipients during the first 20 postoperative years in comparison with the population at large (Visuri, 2010).
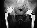
Hip instability and dislocation is a feared complication of hip replacement. Fortunately, dislocation is a
relatively uncommon complication in primary total hip arthroplasty occurring in approximately 0.4%–0.8%
of cases. It is, unfortunately, much more common after hip revision arthroplasty occurring in up to 16% of cases (Galante, 1998). Hip dislocation occurring within the first three months after surgery is presumed to be caused by laxity of the immature pseudocapsule of the joint and laxity of the soft tissues (Mulcahy, 2012). In our experience most prosthetic hip dislocations are in a posterior direction (figure: posterior total hip arthroplasty dislocation). Late dislocation is often the result of trauma. Early dislocation may often be successfully treated with non-operative reduction, while a late dislocation or a traumatically induced dislocation often require surgical correction.
Another common complication after orthopedic surgery is heterotopic bone formation. It is particularly prominent about the elbow and hip and most often seen after fracture fixation around these joints. It may be found in any soft tissue after trauma and/or surgery and is often an incidental finding. It should not be mistaken for an aggressive bone forming soft tissue sarcoma as might be the case with the early stages of heterotopic bone formation (myositis ossificans) in the thigh adductor musculature. Occasionally, heterotopic bone becomes symptomatic limiting range of motion and has to be surgically removed (figure: right hip prosthesis with heterotopic bone formation).
Revision surgery is usually more involved and requires considerably more surgical experience than primary total hip replacement. There is increased cost, morbidity, and technical challenge (Dy, 2014). A variety of revision arthroplasty devices have been developed. Typically, there is a longer femoral stem, and there may be cerclage wires or cables to help stabilize the prosthesis (figure: revision total hip arthroplasty).
Some acetabula are so severely compromised with bone loss they cannot be managed using ordinary cups, bone substitute augments, or metal cages. In these cases allograft-prosthetic composites or custom acetabular components may have to be used (Berasi, 2015).
The tri-flange design is a common revision hip replacement (figure: tri-flange hip revision arthroplasty). These are used in cases of failed prior salvage reconstruction with cage or porous metal construct augments, in cases with large bony defects and possible pelvic discontinuity, and in cases where the hip has had multiple previous surgeries with resulting poor bone stock (Berasi, 2015).
Back to Top
| Focal osteolysis about femoral stem of total hip arthroplasty |
Femoral osteolysis and loosening of noncemented total hip arthroplasty |
Right hip arthroplasty polyethylene wear |
Particle disease (arrows) left hip coronal CT image |
 |
 |
 |
 |
| Cemented total hip arthroplasty with focal osteolysis about the stem in zones, 2, 5, and 7. From Benjamin, 1994 |
There is radiolucency (arrow) around the entire femoral stem with a sclerotic margin and eccentric positioning of the stem. There is also thinning of the lateral femoral cortex. From Benjamin, 1994 |
|
68 year-old man with particle disease from a worn out left hip prosthesis. Bony destruction (arrows) is in the left supra-acetabular region and in the left greater trochanter with a pathologic fracture. |
 |
| Left hip arthroplasty: polyethylene liner wear with associated osteolysis and particle disease |
 |
 |
 |
 |
| |
|
Axial CT image |
Coronal CT image |
 |
| Femoral head resurfacing prosthesis |
DePuy PROSTALAC total hip replacement |
Antibiotic laden cement (ABLC) temporary prosthesis |
Hip antibiotic laden cement (ABLC) acetabular spacer |
 |
 |
 |
 |
| |
53 year-old man whose previously infected right hip prosthesis was replaced with the PROSTALAC prosthesis having antibiotic laden components. |
|
This type of temporary prosthesis is left in place 6-12 weeks while intravenous antibiotics are being administered. From Taljanovic, 2005 |
 |
| Metal-on-metal right hip total arthroplasty
|
Metal-on-metal right hip total arthroplasty |
Metal-on-metal left hip arthroplasty with metallosis and bony erosions |
 |
 |
 |
 |
| 29 year-old woman with bilateral hip dysplasia and placement of right metal-on-metal hip arthroplasty for advanced degenerative arthritis from the hip dysplasia. There is postoperative gas evident as well as a surgical drain. |
55 year-old woman |
68 year-old woman with left hip metal-on-metal prosthesis. Bony erosions (arrows) are evident on the greater and lesser trochanters from probable metallosis with pseudotumor formation. |
 |
| Metal-on-metal right Hip arthroplasty with heterotopic bone formation |
Right Hip Arthroplasty with heterotopic bone formation |
Osteolysis and particle disease in right hip implant
|
 |
 |
 |
 |
| 55 year-old man with right hip metal-on-metal arthroplasty and heterotopic bone formation above the greater trochanter. The metal-on-metal prosthesis was removed and replaced with a standard hip prosthesis due to continued hip pain and chronic fluid collection (pseudotumor) around the greater trochanter. A later scout CT image shows increased heterotopic bone formation (arrow) near the revision prosthesis. The heterotopic bone was later removed. |
There is displacement of the right acetabular implant component and osteolysis from granulomatous particle disease. A left metal upon metal hip implant is present.
|
 |
| Displaced polyethylene liner in right hip arthroplasty |
|
|
|
 |
|
|
|
| Image courtesy Lana Hirai Gimber, MD |
|
|
|
Back to Top
Resurfacing Hip Arthroplasty
Resurfacing hip arthroplasty replaces only the articular surfaces (figure: femoral head resurfacing). This preserves bone stock in an attempt to reduce postoperative complications. The femoral head may have resurfacing alone; or, there may be resurfacing of both the femoral head and the acetabulum. In the Birmingham Hip Resurfacing (BHR) system a metallic femoral cap articulates with a metallic acetabular cup. Metal-on-metal hip resurfacing was developed for younger more active patients as an alternative to total hip replacement, because more bone stock is preserved and future revision, if necessary, would be easier.
The metal surfaces are highly polished, and their articulation is lubricated by normal synovial fluid. Because most of the resurfacing hip arthroplasty devices use metal-on-metal surfaces, they remain controversial and are not nearly as common as traditional hip replacement (Marshall, 2014). Periprosthetic lucency around a resurfacing hip arthroplasty is evaluated similar to evaluation for a total hip arthroplasty. There are three zones around the femoral head peg numbered 1, 2, and 3 from lateral to medial on the AP view (figure: femoral head resurfacing zones).
Infection
A dreaded complication for hip replacement surgery is postoperative infection, deep joint infection (JPI), necessitating prosthesis removal. The infection rate may be as high as 1-2% for primary total hip replacement and even higher for total hip revision (Mulcahy, 2012; Patel, 2023). In Sweden the cumulative incidence of primary joint infection within two years after primary total hip replacement has been reported to be 0.9% with staphylococcus aureus and coagulase-negative staphylococci as the most common bacteria isolated (Lindgren, 2014).
Diagnosis of deep joint infections is difficult. Prosthesis loosening from infection may simulate aseptic (non-infectious) loosening and prosthesis failure which is more common. A rapid time course for osteolysis and an aggressive appearance with periosteal reaction favor the diagnosis of infection (Mulcahy, 2012). Adjacent soft tissue fluid collections are also worrisome for an infection, though they are non-specific. The patient's clinical picture may determine the distinction between an infected versus non-infected prosthesis with fever, redness, localized swelling, and elevated WBC count favoring infection. See also the discussion for the diagnosis of osteomyelitis and prosthesis infections in Nuclear Medicine Imaging: Medical Devices and Artifacts.
Infected prostheses are generally treated in a two stage procedure. The infected prosthesis is removed with hip debridement and drainage of infected fluids. The patient is placed on intravenous antibiotics for 6-12 weeks, and a temporary antibiotic laden cement spacer (ALCS) or antibiotic laden hip prosthesis is placed (figure: antibiotic laden cement temporary prosthesis). A recent development is an acrylic antibiotic laden temporary prosthesis, the DePuy PROSTALAC system (figure: PROSTALAC hip replacement). This system includes a thin polyethylene acetabular liner, a metallic femoral head, and an acrylic antibiotic laden femoral component. Exactech also makes similar antibiotic spacers/prostheses for the shoulder, knee, and hip.
After an interval of 6-12 weeks or longer, the intravenous antibiotics are stopped, and the temporary antibiotic laden spacer or temporary prosthesis are removed. Then a new prosthesis is implanted.
Back to Top
|