| Unipolar hip hemiarthroplasties (endoprostheses) |
Unipolar hip hemiarthroplasty (endoprosthesis) with a cemented femoral component |
Modular non-cemented unipolar hip hemiarthroplasty (endoprosthesis) |
Left hip unipolar prosthesis non-cemented |
 |
_cemented_AP_small.jpg) |
 |
 |
| These are single piece prostheses which press fit into the native acetabulum and the native femur. From Hunter, 1994 |
Note the collar abutting the femoral calcar. From Taljanovic, 2005 |
Note the collar abutting the femoral calcar. |
74 year-old woman treated for left femoral neck fracture. There is a medial collar abutting the femoral calcar. |
 |
| Bipolar hemiarthroplasty (prosthesis) |
Bipolar hemiarthroplasty (prosthesis) |
Bipolar hemiarthroplasty
|
 |
 |
 |
 |
| A free riding acetabular cup is press fit into the native acetabulum. The acetabular cup articulates with a prosthetic femoral head and stem component. From Hunter, 1994 |
From Hunter, 1994 |
92 year-old woman treated for left femoral neck fracture
|
 |
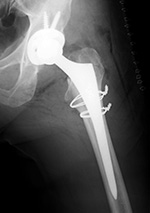
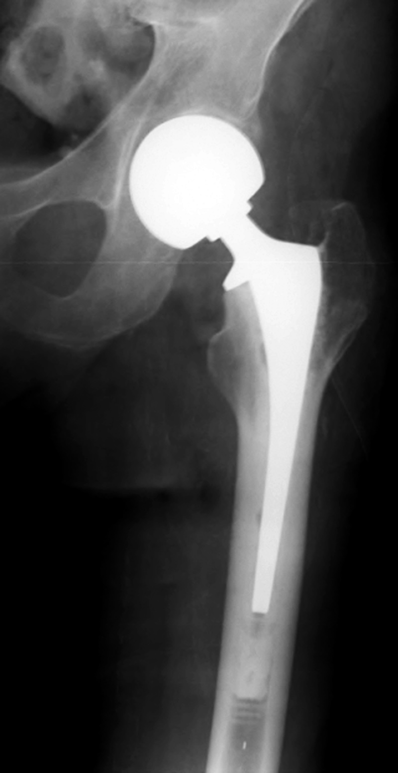
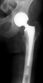
| Bipolar hemiarthroplasty with claw plate and cables
|
Bilateral total hip arthroplasty; right hip arthroplasty dislocation |
Total hip arthroplasty with cerclage wires |
 |
 |
 |
 |
| 78 year-old woman with prior bipolar hemiarthroplasty; presently treated with claw plate and cables for periprosthetic intertrochanteric fracture.
|
Elderly woman with bilateral press fit total hip arthroplasties. There is a dislocation on the right. |
|
 |
| Bipolar hip prosthesis with cable plate (cables passed through the plate) |
Modular non-cemented total hip prosthesis (THA) |
Modular non-cemented total hip prosthesis (THA) |
Hip prosthesis femoral components |
 |
 |
 |
 |
| The cable plate and wires stabilize a periprosthetic femoral shaft fracture. |
Implants consist of a proximally porous coated stem and prosthetic head and a porous coated metal acetabular component with a polyethylene liner. From Hunter, 1994 |
There is a variation in the head diameter. Two components on the right have ceramic heads. From Hunter, 1994 |
 |
| Dislocated total hip arthroplasty |
Total hip arthroplasty with porous coated stem |
Revision total hip prosthesis |
Malleable penile prosthesis and bipolar hip hemiarthroplasty |
 |
 |
 |
 |
| Most hip arthroplasty dislocations are posterior. From Hunter, 1994 |
The cerclage wires were placed because a femoral shaft fracture (not visible herein) occurred during the prosthesis placement. There is subcutaneous gas from recent placement of the prosthesis. From Taljanovic, 2005 |
The revision prosthesis was placed because of an earlier periprosthetic fracture. There are two cable wires proximally and two cerclage wires distally. From Taljanovic, 2005 |
|
 |
| Triflange acetabular component total hip revision arthroplasty with long femoral stem |
Triflange acetabular component total hip revision arthroplasty |
Metal-on-metal right hip total arthroplasty
|
 |
 |
 |
 |
| |
83 year-old woman |
67 year-old woman
|
 |
| Femoral head resurfacing prosthesis |
DePuy PROSTALAC total hip replacement |
Lower limb salvage prosthesis (limb-salvage total knee arthroplasty) |
 |
 |
 |
 |
| |
53 year-old man whose previously infected right hip prosthesis was replaced with the PROSTALAC prosthesis having antibiotic laden components. |
This is a custom made prosthesis for a patient who was treated for a Ewing sarcoma.
From Taljanovic, 2005 |
 |
| Antibiotic laden cement (ABLC) temporary prosthesis |
Hip antibiotic laden cement (ABLC) acetabular spacer |
Metal-on-metal right hip total arthroplasty |
 |
 |
 |
 |
| From Taljanovic, 2005 |
From Taljanovic, 2005 |
55 year-old woman |
 |
| Metal-on-metal right hip total arthroplasty
|
Right hip dislocation with displaced polyethylene liner |
 |
 |
 |
 |
| 29 year-old woman with bilateral hip dysplasia and placement of right metal-on-metal hip arthroplasty for advanced degenerative arthritis from the hip dysplasia. There is postoperative gas evident as well as a surgical drain. |
Initial AP radiograph (left) shows a right hip dislocation. Note the polyethylene liner (arrow) is still associated with dislocated femoral head. The hip was subsequently relocated. The AP radiograph (middle) show subtle eccentric positioning of the reduced femoral head within the acetabular cup. A subtle density (arrows) represents the liner which is now disassociated from the femoral head. This is somewhat more clearly shown (arrow) on the frog leg lateral view (right). |