Medical Apparatus: Imaging Guide to Orthopedic Devices
HOME | ABOUT | CONTACT US

Gallery of Orthopedic Medical Devices

Introduction

Neck & Spine Gallery

Fracture Fixation Gallery

Joint Arthroplasty Gallery 

 

Complications of Orthopedic Apparatus

Gallery References

 

 

Gallery of Medical Devices - Joint Arthroplasty continued


By Tim B. Hunter, MD and Mihra S. Taljanovic, MD, PhD

 

Gallery of Joint Arthroplasty Devices - Knee

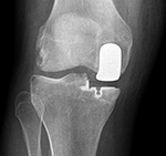
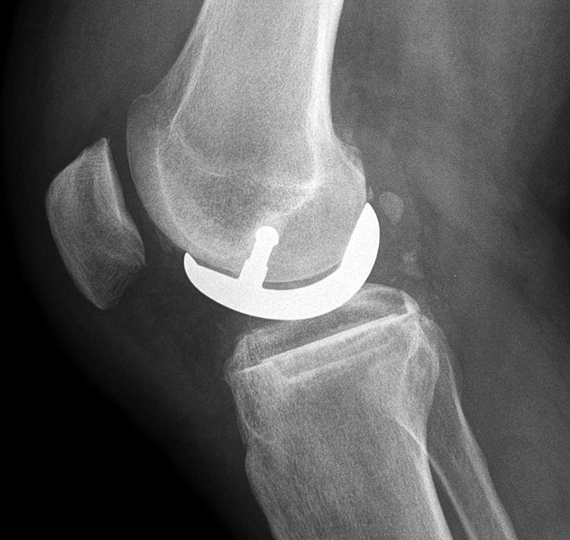
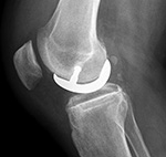
Unicompartmental knee prosthesis placed in the medial compartment (AP view) Unicompartmental knee prosthesis placed in the medial compartment (lateral view) Unicompartmental knee prosthesis placed in lateral knee compartment
Unicompartmental knee prosthesis - AP view Lateral unicompartmental knee prosthesis Lateral unicompartmental knee prosthesis
From Taljanovic, 2005 50 year-old man with lateral knee compartment degenerative osteoarthritis
Left knee cruciate substituting revision total knee prosthesis   Cruciate substituting total knee prosthesis and patellar resurfacing.
Left knee cruciate substituting revision knee arthroplasty Left knee cruciate substituting revision total knee arthroplasty Cruciate substituting knee prosthesis - AP view Cruciate substituting knee prosthesis - latera view
46 year-old man with knee revision arthroplasty   Note the large distal femoral box. There is a surgical drain in the suprapatellar space. From Taljanovic, 2005
Cruciate retaining total knee prosthesis with cementless femoral and cemented tibial component and patellar resurfacing Stryker Triathlon PSC total knee arthroplasty - cruciate removal prosthesis  
Cruciate retaining total knee prosthesis AP view Cruciate retaining total knee prosthesis - lateral view Stryker Triathlon total knee prosthesis Stryker Triathlon total knee prosthesis
There is a postoperative drain and skin staples. There is a posterior stabilized component (PSC) with removal of the posterior cruciate ligament. There is also a surgical drain and skin staples in place. From Taljanovic, 2005
Cruciate retaining total knee arthroplasty (TKA)   Biomet Vanguard 360 Revision Knee System
Cruciate retaining TKA Cruciate retaining TKA Biomet Vanguard 360 knee revision Biomet Vanguard 360 knee revision
68 year-old woman treated for severe left knee osteoarthritis This replaced a loose prior total knee arthroplasty. The patellar button was left in place. A surgical drain is in place, and there is subcutaneous gas from the recent surgery.
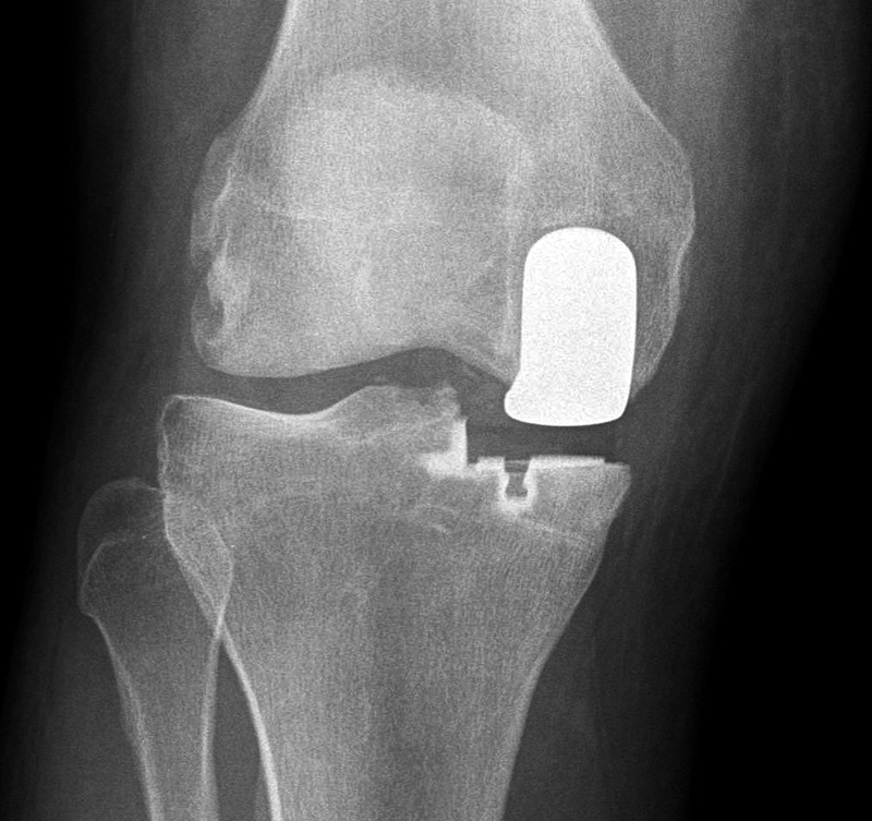
Left knee hemiarthroplasty (interpositional arthroplasty) Interference (Kurosaka) screw

Anterior cruciate ligament (ACL) artificial graft  
Left knee interpositional arthroplasty

Kurosaka screw

ACL artificial graft  
A metallic spacer sits on the medial tibial plateau. Image courtesy Brandon Runyan, MD. Interference (Kurosaka) screws are used to anchor anterior cruciate ligament graft in femoral and tibial metaphysis. Note the multiple osteochondromas (familial exostosis).

From Hunter, 1994

woven Gore-Tex anterior cruciate ligament (ACL) substitute. From Benjamin, 1994.  
Fixed-bearing total knee prosthesis Rotating platform knee prosthesis
Fixed bearing knee prosthesis Fixed bearing knee prosthesis Rotating platform knee prosthesis Rotating platform knee prosthesis
From Hospital For Special Surgery
Rotating platform knee system Constrained knee implant system Rotating-hinge knee system DePuy Synthes limb preservation system
LCS Complete Knee System from DePuy Synthes Sigma constrained knee system Rotating hinge knee system Limb preservation system
From DePuy Synthes. © DePuy Synthes 2016.  All rights reserved. LCS® COMPLETE is a trademark of DePuy Synthes. From DePuy Synthes. © DePuy Synthes 2016.  All rights reserved. SIGMA® is a trademark of DePuy Synthes. From DePuy Synthes. © DePuy Synthes 2016.  All rights reserved. © DePuy Synthes 2016.  All rights reserved.
Cadaver allograft

 

   
Cadaver allograft

Cadaver allograft

   
AP and lateral views of the knee show a distal femoral cadevaric limb sparing allograft approximated to the native distal femoral stump by a retrograde intramedullary nail. Two interlocking cannulated screws go through the distal portion of the nail. Cruciate ligament and capsular reattachment were performed with two interference screws and two staples in the proximal tibia and a staple in the posterior aspect of the allograft metaphysis. The patient had a non-specified distal femur sarcoma.

 

   

Back to Top

 

Gallery of Arthroplasty Devices continued...

 


Author contact information

Tim Hunter
Email: hunter@radiology.arizona.edu


COPYRIGHT 2013: TBH
All Rights Reserved

Publisher Contact Information

Main office: USA (New York)
Cambridge University Press
32 Avenue of the Americas
New York, NY 10013-2473

Phone: (212) 337-5000
Email: newyork@cambridge.org