Medical Apparatus: Imaging Guide to Orthopedic Devices
HOME | ABOUT | CONTACT US

Gallery of Orthopedic Medical Devices

 

Introduction

Neck & Spine Gallery

Fracture Fixation Gallery

Joint Arthroplasty Gallery 

 

Complications of Orthopedic Apparatus

Gallery References

 

Gallery of Orthopedic Medical Devices - Fracture Fixation


By Tim B. Hunter, MD and Mihra S. Taljanovic, MD, PhD

 

Conservative fracture treatment

Metallic wrist splint AP view Metallic wrist splint lateral view Fiberglass cast Fiberglass cast
Metallic wrist splint Metallic wrist splint Fiberglass cast Fiberglass cast on wrist
50 year-old woman with acute distal radius fracture.   From Hunter, 1994 60 year-old woman with healing distal radius fracture.
Plaster cast Plaster cast Plaster cast Pins in plaster
Plaster cast on wrist Plaster cast on wrist Plaster cast Pins in plaster
50 year-old female with acute distal radius fracture (same patient with the metallic splint). From Hunter, 1994  
Hinged knee brace AP view Hinged knee brace lateral view Uniplanar external fixator (mini) external fixator
Hinged knee brace AP view Hinged knee brace lateral view External fixator Mini external fixator
65 year-old woman with healing patellar fracture stabilized by two cancellous partially threaded bone screws and tension band wires.   External fixator used to treat a distal radius fracture (which also has a percutaneous pin in it). There are unilateral threaded pins in the radius and in the index finger metacarpal. From Hunter, 1994 From Taljanovic, 2005
Uniplanar pelvis external fixator Traction pin Stableloc external fixation system Dorsal blocking splint
Uniplanar pelvis external fixator Traction pin Stableloc external fixator Dorsal blocking splint

Patient with multiple bilateral pelvic fractures. There is a uniplanar fixator with Schantz pins that transfix both iliac bones with carbon-fiber interconnecting rods (arrows). Two cancellous cannulated screws (proximal fully threaded, distal partially threaded with a washer) transfix the right sacroiliac joint and right sacral fracture. There is a reconstruction plate with four fully threaded cortical screws transfixing the posterior wall of the left acetabulum. From Taljanovic, 2005

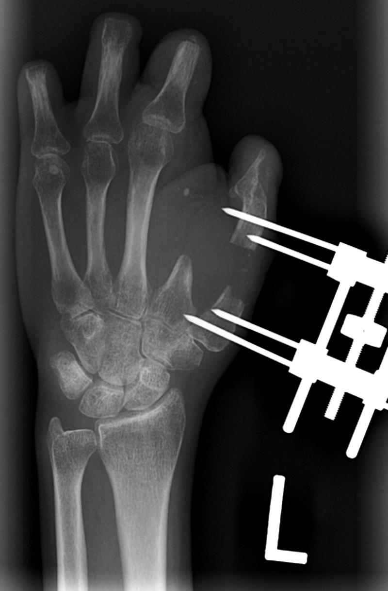
  This system is designed to stabilize otherwise unstable distal radius fractures. Image from Acumed The patient suffered a volar plate injury to his ring finger middle phalanx from an electrical shock while working on a fish tank!
Hybrid fixator Ring (Ilizarov) external fixator  
Hybrid external fixator Hybrid external fixator Ring (Ilizarov) external fixator  
57 year-old man with chronic fracture deformities treated by tibia and fibular osteotomy and placement of a hybrid external fixator.

From Taljanovic, 2005  
80 year-old woman with left femur fracture stabilized by a femur fracture splint and later by femur fracture traction Finger traction
Femur fracture splint Femur fracture traction AP view Femur fracture traction lateral view Finger traction
      External traction wire devices have been placed on the 1-4th fingers to reduce and stabilize a distal radius fracture.
Suzuki frame Suzuki fixator
Suzuki frame Suzuki frame Suzuki fixator Suzuki fixator
41 year-old man with chronic fracture dislocation of the left ring finger proximal phalanx.   53 year-old woman with comminuted fracture involving the proximal portion of the left little finger middle phalanx.
Calcaneal traction Calcaneal ghost tract from removal of traction pin Uniplanar external fixator with Steinman pins  
Calcaneal traction Calcaneal ghost track Unilateral external fixator  
    The unilateral pins just penetrate the far cortex and are connected with radiolucent rod. The fixator is immobilizing a tibial fracture. From Hunter, 1994  

Back to Top

 

Gallery of Fracture Fixation continued...

 


Author contact information

Tim Hunter
Email: hunter@radiology.arizona.edu


COPYRIGHT 2013: TBH
All Rights Reserved

Publisher Contact Information

Main office: USA (New York)
Cambridge University Press
32 Avenue of the Americas
New York, NY 10013-2473

Phone: (212) 337-5000
Email: newyork@cambridge.org